What is Zoom Whitening?
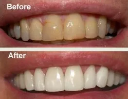
Zoom Whitening is a popular in-office teeth whitening procedure that uses a high-concentration hydrogen peroxide gel activated by a special blue light. This advanced cosmetic dentistry treatment offers a quick and effective way to brighten your smile, often achieving significant results in just one appointment. Patients appreciate the convenience and the dramatic impact on their teeth’s appearance, making it a go-to choice for those seeking a radiant, confident smile. However, while the results are impressive, it’s essential to understand potential side effects, particularly tooth sensitivity, which is a common experience after the procedure. This article will delve into the causes of this sensitivity and how to manage it effectively.
How Zoom Whitening Works
The Zoom Whitening process starts with the dentist protecting your gums and lips, leaving only your teeth exposed. A high-concentration hydrogen peroxide gel is then applied to the teeth. The dentist then shines a special blue light on your teeth, which accelerates the whitening process by activating the hydrogen peroxide. This process typically involves several 15-minute sessions. The hydrogen peroxide penetrates the enamel, breaking down stains and discoloration. After the procedure, you’ll receive post-treatment instructions, which are critical for managing potential sensitivity and maintaining your newly whitened smile. The results can last for a significant amount of time with proper care and maintenance, making Zoom Whitening a worthwhile investment for those seeking a brighter, more confident smile.
The Science Behind Tooth Sensitivity

Tooth sensitivity occurs when the inner part of the tooth, the dentin, becomes exposed. Dentin contains tiny tubules that lead to the nerve center of the tooth. When these tubules are stimulated by hot, cold, acidic, or sweet substances, it can trigger a sharp, temporary pain. In the context of Zoom Whitening, the whitening agent can cause temporary inflammation and changes in the tooth structure, leading to increased sensitivity. The hydrogen peroxide used in the process can penetrate the enamel, causing dehydration and micro-cracks, which further contribute to sensitivity. Understanding this underlying science helps in appreciating why managing post-whitening sensitivity is so important for patient comfort and the overall success of the procedure.
Top 7 Causes of Tooth Sensitivity After Zoom Whitening
Experiencing tooth sensitivity after Zoom Whitening is common, but understanding the contributing factors can help you mitigate the discomfort and ensure a positive experience. Here are the top seven causes of sensitivity:
Enamel Weakening
The bleaching agents used in Zoom Whitening can temporarily weaken the enamel. This makes the teeth more vulnerable to external stimuli, leading to sensitivity. Although the enamel will usually remineralize and regain its strength over time, the initial weakening can cause discomfort. Using fluoride treatments and avoiding abrasive toothpastes can help strengthen the enamel during this period. Proper post-whitening care is crucial for supporting the enamel’s recovery and minimizing sensitivity.
Gum Recession

Gum recession, where the gums pull back and expose the tooth’s root, can also lead to increased sensitivity after Zoom Whitening. The roots are not protected by enamel, so they are more susceptible to sensitivity. Individuals with pre-existing gum recession may experience heightened discomfort. Dentists may recommend treatments for gum recession or use desensitizing agents to protect the exposed root surfaces and alleviate pain. Maintaining good oral hygiene and regular dental check-ups are essential for managing gum health and preventing recession.
Existing Dental Issues
If you have pre-existing dental issues such as cavities, micro-cracks, or worn enamel, you’re more likely to experience sensitivity after Zoom Whitening. These issues compromise the natural protection of your teeth, making them more vulnerable to the whitening agent. A thorough dental examination prior to whitening is important to identify and address any underlying dental problems. Your dentist may recommend treatments to resolve these issues before proceeding with whitening. Addressing these pre-existing conditions can reduce the likelihood of post-whitening sensitivity and ensure a more comfortable experience.
Concentration of Whitening Agent
The concentration of hydrogen peroxide used in the Zoom Whitening gel is a significant factor in the level of sensitivity experienced. Higher concentrations are more effective at whitening, but they can also lead to greater sensitivity. Dentists carefully balance effectiveness and patient comfort by selecting the appropriate concentration. Sometimes, they may adjust the treatment plan or recommend desensitizing agents to manage sensitivity. Understanding that the dentist considers the concentration when creating a treatment plan is important to have realistic expectations and manage potential discomfort effectively.
Over-Whitening

Undergoing excessive whitening sessions, or over-whitening, can exacerbate tooth sensitivity. This occurs when the enamel is repeatedly exposed to the whitening agent over a short period, leading to increased enamel porosity and irritation of the underlying dentin. It is important to follow your dentist’s instructions and to avoid exceeding the recommended treatment duration. Dentists monitor the whitening process to prevent over-whitening. Following their recommendations will help to preserve the health of your enamel and avoid sensitivity. It is best to follow the treatment plan recommended by your dentist to maintain the health of your teeth.
Tooth Dehydration
Zoom Whitening can temporarily dehydrate the teeth, which contributes to sensitivity. The whitening agent can draw moisture out of the enamel and dentin, leaving the teeth more vulnerable. Proper hydration and the use of desensitizing agents that help to rehydrate and strengthen the teeth can reduce discomfort. Maintaining good oral hygiene and avoiding prolonged exposure to excessively cold or hot foods and beverages will help restore the natural moisture balance. It’s important to follow post-treatment instructions to help to rehydrate your teeth and reduce sensitivity.
Individual Tooth Structure
Each individual’s tooth structure is unique, with variations in enamel thickness, dentin porosity, and the size of the pulp chamber. These variations can influence how the teeth respond to whitening treatments. Some people are naturally more prone to sensitivity, and their teeth may react more strongly to the bleaching agent. Prior to any whitening treatment, your dentist will assess your tooth structure and dental history to anticipate any sensitivity and make informed decisions about the treatment plan. If you are naturally more sensitive, the dentist may recommend a gentler approach or desensitizing treatments to minimize discomfort.
Preventing and Managing Tooth Sensitivity After Zoom Whitening

While tooth sensitivity is a common side effect of Zoom Whitening, there are numerous steps you can take to prevent and manage it effectively. By following these tips, you can minimize discomfort and enjoy the benefits of a brighter smile.
Use Sensitivity Toothpaste
Sensitivity toothpastes, containing ingredients like potassium nitrate, help block the pathways to the nerve endings in the teeth, thus reducing sensitivity. Start using sensitivity toothpaste a few weeks before your Zoom Whitening procedure to prepare your teeth. Continue using it after the treatment to provide ongoing relief. Using the right toothpaste consistently can significantly decrease post-whitening discomfort and make the experience much more comfortable. Choose a toothpaste recommended by your dentist for the best results.
Avoid Acidic Foods and Drinks
Acidic foods and drinks, such as citrus fruits, soda, and coffee, can erode the enamel and exacerbate tooth sensitivity. Minimize or avoid these items for a few days after your whitening treatment. Opt for a balanced diet with less acidic foods to help protect your teeth. Drinking through a straw can also reduce the contact between the acidic beverages and your teeth. This simple adjustment can greatly alleviate discomfort and speed up the recovery of your teeth.
Gentle Brushing Technique

Brushing your teeth gently with a soft-bristled toothbrush is essential, especially after Zoom Whitening. Avoid aggressive scrubbing, which can damage the enamel and increase sensitivity. Use a gentle, circular motion and brush each tooth carefully. This technique helps you avoid further irritation and allows your enamel to recover. Consider using an electric toothbrush with a pressure sensor to ensure you’re not brushing too hard. Proper brushing technique ensures that you maintain good oral hygiene without exacerbating sensitivity.
Follow Post-Treatment Instructions
Your dentist will provide specific post-treatment instructions, which are crucial for managing sensitivity and maintaining your results. These instructions may include recommendations for toothpaste, diet, and oral hygiene. Follow these instructions carefully to ensure a smooth recovery and reduce any potential discomfort. If you have any questions, do not hesitate to contact your dentist. Adhering to the dentist’s advice is the best way to guarantee a successful outcome from your Zoom Whitening procedure and to maintain your new, bright smile.
When to Consult Your Dentist
While some level of sensitivity is normal after Zoom Whitening, it’s important to know when to seek professional help. If the sensitivity is severe, persistent, or interferes with your daily life, consult your dentist immediately. They can assess the situation and offer appropriate treatments, such as fluoride treatments, desensitizing agents, or other solutions. Any unusual symptoms or changes in your oral health should also be reported promptly. Your dentist can provide expert guidance to make sure that you are comfortable and that your teeth are recovering well after the procedure.
In conclusion, understanding the causes of tooth sensitivity after Zoom Whitening and taking proactive steps to manage it can significantly enhance your experience. While sensitivity is a common side effect, it is usually temporary. By following the tips outlined above and consulting your dentist, you can achieve a brighter, more confident smile while minimizing discomfort. Proper post-treatment care is key to enjoying your new smile and maintaining your oral health.
