What is Zoom Whitening?
Zoom Whitening is a popular and effective in-office teeth whitening procedure offered by dentists to brighten and lighten the shade of your teeth. It utilizes a professional-strength bleaching agent, typically containing a high concentration of hydrogen peroxide, along with a specialized light to accelerate the whitening process. This procedure is designed to break down stains and discoloration that have accumulated on the enamel of your teeth, leading to a noticeably whiter and brighter smile in a single appointment. The procedure usually takes about an hour and a half, making it a convenient option for those seeking fast results. While highly effective for natural teeth, it’s important to understand how Zoom Whitening interacts with dental restorations like bonded teeth.
How Zoom Whitening Works
The Zoom Whitening process begins with a thorough cleaning of the teeth to remove any plaque or debris that might interfere with the whitening agent. After this, a protective barrier is placed around the gums to shield them from the bleaching solution. The whitening gel is then applied to the surface of the teeth, and a special Zoom light is directed at the teeth. This light activates the hydrogen peroxide in the gel, causing it to break down into oxygen molecules. These oxygen molecules penetrate the enamel and dentin, breaking down the stain molecules that cause discoloration. The procedure is often repeated in 15-minute intervals, with the dentist monitoring the results and adjusting the process as needed. This ensures the best possible outcome while minimizing any potential sensitivity. It is a carefully controlled process performed by dental professionals to ensure both safety and efficacy.
What are Dental Bonds?

Dental bonding, often referred to as tooth bonding, is a cosmetic dental procedure where a tooth-colored resin material is applied to the teeth and hardened with a special light. This is a versatile treatment used for various purposes, including repairing chipped or cracked teeth, filling gaps between teeth, and altering the shape or color of teeth. The bonding material is matched to the shade of your natural teeth to blend seamlessly with the surrounding dentition. Unlike veneers, which are custom-made in a lab, bonding can often be completed in a single visit. Bonded teeth, while durable, are susceptible to staining, and the bonding material does not whiten in the same way as natural tooth enamel. This is a critical consideration when contemplating Zoom Whitening, as the bonds may not respond to the whitening treatment.
The Difference between Zoom Whitening and Dental Bonds
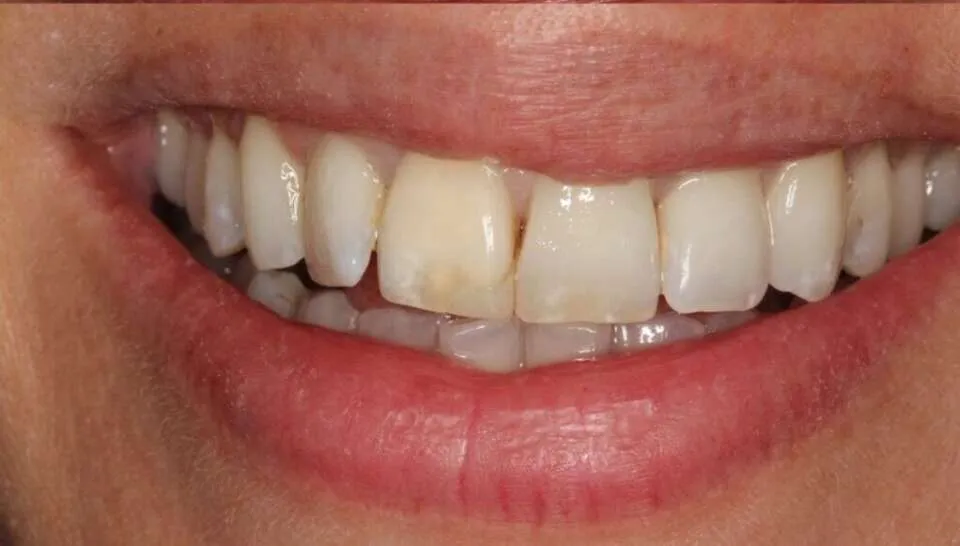
The fundamental difference lies in how the two interact with whitening agents. Zoom Whitening works by bleaching the enamel of the natural teeth, effectively lightening their shade. The bleaching agent in Zoom Whitening breaks down stain molecules within the tooth structure. Dental bonds, on the other hand, are made from a composite resin material. This resin material does not respond to the whitening process in the same way as natural teeth. While the natural teeth will become whiter with Zoom Whitening, the bonded areas will remain the same shade. This can create a noticeable color difference between the natural teeth and the bonded teeth, potentially making the bonded areas appear darker than the surrounding teeth. This contrast is one of the primary considerations when discussing Zoom Whitening with bonded teeth, as it influences the aesthetic outcome of the procedure.
Zoom Whitening on Bonded Teeth: Risks and Benefits
Undergoing Zoom Whitening with bonded teeth requires careful consideration of both the potential benefits and risks involved. The primary benefit is the whitening of the natural tooth structure surrounding the bonds, resulting in a brighter smile. However, the main risk is the potential for a mismatch in color between the whitened natural teeth and the bonded areas, which will not lighten. This color discrepancy could make the bonds appear more noticeable and could necessitate the replacement of the bonds to match the new shade of the whitened teeth. A thorough consultation with your dentist is crucial to assess your individual situation and discuss the best course of action to achieve your desired outcome. Your dentist will evaluate the condition of your teeth, the shade of your bonds, and your overall expectations.
Potential Risks of Zoom Whitening on Bonded Teeth

The primary risk associated with Zoom Whitening on bonded teeth is the aesthetic mismatch. Because the bonding material does not whiten, the natural teeth will become lighter, and the bonds will not. This can lead to the bonded teeth appearing darker or more noticeable, negating the overall improvement in the smile’s appearance. Another potential risk is increased tooth sensitivity, which is a common side effect of teeth whitening. This sensitivity can be more pronounced if the teeth already have existing sensitivity issues or if the bonding material is not perfectly sealed. Although rare, in some cases, the whitening agent could potentially affect the bond, although the exact mechanism is not fully understood. It’s crucial to discuss these risks with your dentist before proceeding with the Zoom Whitening procedure.
Potential Benefits of Zoom Whitening on Bonded Teeth
Despite the risks, there can still be benefits to Zoom Whitening for individuals with bonded teeth. The most significant benefit is the overall improvement in the brightness of the smile. If the bonding is limited to a few teeth, and the natural teeth are significantly discolored, whitening the natural teeth can dramatically improve the overall appearance, even if the bonds remain the same shade. In some cases, the existing bonds might not be perfectly matched to the surrounding teeth, and whitening can help to blend them better. Zoom Whitening can also boost your confidence and provide a more youthful and attractive smile. However, the benefits should always be weighed against the potential drawbacks and discussed with your dentist. The dentist can offer recommendations regarding bond replacement after whitening for a better result.
Consultation with Your Dentist
Before undergoing any teeth whitening procedure, a consultation with your dentist is paramount. During this consultation, the dentist will assess the overall health of your teeth and gums, discuss your goals and expectations for the whitening process, and evaluate the existing dental work, including the presence and condition of any bonded teeth. This assessment will involve a thorough examination of your teeth to identify any potential issues, such as cavities, gum disease, or tooth sensitivity. Your dentist will also discuss your medical history, including any allergies or sensitivities you may have. Based on this assessment, the dentist will determine whether Zoom Whitening is suitable for you and provide personalized recommendations based on your unique oral health needs and aesthetic goals. Be prepared to discuss your desired outcome, including the shade of white you hope to achieve.
Pre-Whitening Assessment

As part of the pre-whitening consultation, your dentist will conduct a detailed assessment of your teeth. This will include a visual examination to identify any existing dental work, such as fillings, crowns, and bonds. The dentist will also check for any signs of tooth decay, gum disease, or other oral health issues that could affect the whitening process. They will assess the shade of your natural teeth and the shade of any existing bonds. This assessment is critical for determining the appropriate whitening strategy and managing your expectations. In some cases, if the bonds are old or discolored, the dentist might recommend replacing them before the whitening procedure to ensure a more consistent and aesthetically pleasing result. This is because the new bonds can be matched to the new shade of your whitened teeth.
Discussing Expectations
It is extremely important to have an open and honest discussion with your dentist about your expectations for the Zoom Whitening procedure. You should clearly communicate the shade of white you hope to achieve and understand the limitations of the treatment, especially when bonded teeth are involved. Your dentist will be able to explain how Zoom Whitening will affect your natural teeth and how it might impact the appearance of your bonds. They can also discuss alternative options, such as replacing the bonds after whitening to match the new shade of your natural teeth. Realistic expectations are essential to ensure your satisfaction with the final result. Be prepared to ask questions about the procedure, the potential risks and benefits, and the aftercare instructions. This discussion will help you and your dentist make an informed decision about whether Zoom Whitening is right for you.
The Zoom Whitening Procedure
The Zoom Whitening procedure is a straightforward and relatively quick process. First, the dentist will clean your teeth and apply a protective barrier to your gums to shield them from the whitening agent. Next, the whitening gel, which contains a high concentration of hydrogen peroxide, is applied to the surface of your teeth. The Zoom light is then directed at the teeth, activating the gel and accelerating the whitening process. The procedure is typically repeated in 15-minute intervals, with the dentist monitoring the results and adjusting the process as needed. The entire procedure usually takes about an hour, making it a convenient option for those seeking immediate results. After the whitening treatment, the dentist will remove the gel and protective barrier and provide you with aftercare instructions.
Preparing Your Teeth for Whitening

Before the Zoom Whitening procedure, there are a few steps you can take to prepare your teeth for optimal results. Your dentist may recommend a professional cleaning to remove any plaque, tartar, and surface stains that could interfere with the whitening process. If you have any cavities or other dental issues, they should be addressed before the whitening procedure, as the whitening agent can cause sensitivity in compromised areas. It is also important to discuss any existing sensitivity issues with your dentist. They may recommend using a desensitizing toothpaste for a few weeks before the procedure to minimize discomfort. Following your dentist’s pre-whitening recommendations will help to ensure the best possible outcome and reduce the risk of complications.
Applying the Whitening Gel
The application of the whitening gel is a crucial step in the Zoom Whitening procedure. The dentist will carefully apply the gel to the surfaces of your teeth, ensuring that it covers all areas to be whitened. The gel is typically applied in a thin, even layer. Precise application is essential for achieving consistent results across all the teeth. The whitening gel typically contains a high concentration of hydrogen peroxide, which is the active ingredient responsible for breaking down the stain molecules. To protect your gums and soft tissues, the dentist will use a protective barrier, such as a rubber dam or a liquid dam. This is to prevent the whitening gel from coming into contact with the sensitive gum tissue. The gel is usually left on the teeth for about 15 minutes, and the procedure may be repeated multiple times to achieve the desired level of whitening.
Using the Zoom Whitening Lamp
The Zoom Whitening lamp plays a vital role in accelerating the whitening process. The lamp emits a special light, often a blue LED light, which activates the hydrogen peroxide in the whitening gel. This activation process causes the hydrogen peroxide to break down more rapidly, releasing oxygen molecules that penetrate the enamel and break down the stain molecules. The use of the lamp significantly enhances the effectiveness of the whitening gel and reduces the overall treatment time. The dentist carefully positions the lamp to ensure that the light reaches all the teeth being treated. The lamp is typically used in 15-minute intervals. The dentist will monitor the progress and, if needed, will reapply the gel and use the lamp for additional cycles. The combination of the whitening gel and the Zoom light provides a powerful and efficient teeth whitening solution.
Post-Whitening Care

Following the Zoom Whitening procedure, it’s essential to follow your dentist’s post-whitening care instructions to maintain your results and minimize any potential side effects. You might experience some tooth sensitivity in the days following the procedure, and your dentist may recommend using a desensitizing toothpaste to help alleviate this. You should also avoid consuming foods and drinks that can stain your teeth, such as coffee, tea, red wine, and dark-colored berries, for at least a few days after the procedure. This will allow the enamel pores to close and prevent new stains from forming. Maintain good oral hygiene practices, including brushing your teeth twice a day and flossing daily. Regular dental check-ups and cleanings are also essential to maintain your bright smile. Proper aftercare will help you to enjoy your whiter teeth for a long time.
Maintaining Your White Smile
Maintaining your newly whitened smile requires consistent effort and good oral hygiene practices. Brush your teeth at least twice a day with a whitening toothpaste, which can help to remove surface stains and keep your teeth bright. Floss daily to remove plaque and debris from between your teeth, as this helps to prevent stains from setting in. Regular dental check-ups and professional cleanings are crucial for maintaining your results. Your dentist can remove any surface stains and assess the overall health of your teeth and gums. Consider using at-home whitening products, such as whitening strips or custom-fitted trays with whitening gel, as recommended by your dentist, to touch up your whitening results as needed. Make sure to avoid or minimize the consumption of stain-causing foods and drinks. Proper maintenance is key to preserving your bright, white smile for years to come.
Tips for Long-Lasting Results
To ensure your Zoom Whitening results last as long as possible, incorporate several key habits into your daily routine. Minimize your consumption of staining foods and drinks, such as coffee, tea, red wine, and dark-colored berries. If you do consume these items, rinse your mouth with water immediately afterward or brush your teeth soon after to prevent stains from setting in. Avoid smoking and using tobacco products, as they can significantly stain your teeth and negatively impact your oral health. Maintain a consistent oral hygiene routine, including brushing twice a day, flossing daily, and using a whitening mouthwash. Consider using at-home whitening products, such as whitening toothpaste or whitening strips, to maintain your results. Schedule regular dental check-ups and professional cleanings every six months. Following these tips will help you enjoy your brighter, whiter smile for an extended period.
Alternative Whitening Methods for Bonded Teeth

If you have bonded teeth and are seeking to improve the appearance of your smile, alternative whitening methods that address the bonds directly may be more suitable than Zoom Whitening. One option is to replace the existing bonds with new ones that match the shade of your whitened natural teeth. This ensures a consistent and uniform color throughout your smile. Another option is to explore cosmetic dentistry procedures, such as veneers, which are thin, custom-made shells that are bonded to the front of your teeth to improve their appearance. Veneers can be designed to match the shade of your whitened natural teeth and can also correct other aesthetic issues, such as chips, cracks, and gaps. Your dentist can recommend the best course of action based on your individual needs and goals. These methods provide a direct solution for addressing the color of your bonded teeth.
Professional Teeth Whitening Options
Besides Zoom Whitening, several other professional teeth whitening options are available. These options typically involve a dentist-supervised procedure using stronger whitening agents than those available over the counter. One popular alternative is laser teeth whitening, which utilizes a laser to activate the whitening gel, similar to Zoom Whitening. Another option is custom-fitted whitening trays, where your dentist takes impressions of your teeth and creates trays that you can use at home with a professional-strength whitening gel. Another professional option is the use of in-office whitening systems that use different light technologies to enhance the whitening effects. Your dentist can evaluate your specific needs and recommend the most appropriate professional whitening option. These options offer more control over the whitening process and often deliver faster and more dramatic results than at-home methods.
At-Home Whitening Options
If you are not a candidate for in-office whitening or prefer a more gradual approach, several at-home whitening options are available. Over-the-counter whitening products, such as whitening strips, whitening toothpastes, and whitening mouthwashes, are readily available. Whitening strips are easy to use and can be effective for removing surface stains. Whitening toothpastes contain mild abrasives and chemicals that help to remove stains, but they typically don’t change the intrinsic color of your teeth. Whitening mouthwashes can help to freshen breath and contribute to the overall whitening effect. For more personalized and effective results, your dentist may recommend custom-fitted whitening trays. You will fill these trays with a professional-strength whitening gel and wear them for a specified amount of time. Always consult your dentist before using any at-home whitening products. This is to ensure they are safe and appropriate for your individual needs and oral health. They can guide you in choosing the right products and using them effectively.
Conclusion
Zoom Whitening is an effective method for brightening the natural teeth. However, individuals with bonded teeth need to carefully consider the potential consequences of the procedure. The bonding material will not whiten, which can result in a color discrepancy between the natural teeth and the bonds. Before undergoing Zoom Whitening with bonded teeth, a thorough consultation with your dentist is essential. The dentist will evaluate your oral health, discuss your expectations, and explore alternative options, such as bond replacement or veneers, to achieve the desired aesthetic outcome. With careful planning and realistic expectations, you can achieve a brighter, more confident smile while being mindful of the limitations of the procedure when dealing with dental bonds. Make sure you maintain proper oral hygiene and follow all aftercare instructions to maintain your white smile.
