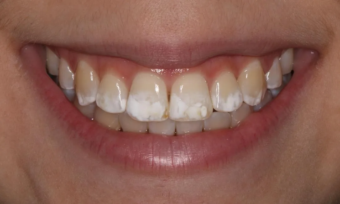
What are White Spots on Teeth
White spots on teeth, also known as enamel hypocalcification, are a common cosmetic concern. They appear as opaque, white or light-colored spots or patches on the surface of the teeth. These spots result from a localized loss of minerals in the enamel, the hard outer layer of the tooth. This demineralization can be caused by a variety of factors, leading to a change in the way light reflects off the tooth’s surface. While often harmless from a health perspective, white spots can be visually noticeable and may affect a person’s confidence in their smile. Understanding the causes and available treatments is essential for effective management.
Causes of White Spots on Teeth
Several factors contribute to the formation of white spots on teeth. These causes often stem from disruptions in the enamel’s development or changes in the oral environment. Recognizing the underlying causes helps determine the appropriate treatment approach and preventive measures. Here are seven of the most common causes of white spots on teeth.
Fluorosis

Fluorosis is a condition caused by excessive fluoride exposure during tooth development. This usually occurs in childhood when teeth are still forming. While fluoride is beneficial for strengthening enamel and preventing cavities, too much can lead to the formation of white spots, streaks, or discoloration on the teeth. This is often a cosmetic issue rather than a health problem, but the appearance can vary depending on the severity of the fluorosis. The amount of fluoride ingested through water, toothpaste, or supplements determines the severity.
Poor Oral Hygiene
Inadequate oral hygiene practices can contribute to the formation of white spots. When plaque and bacteria accumulate on the teeth, they produce acids that erode the enamel, leading to demineralization. If not removed regularly through brushing and flossing, these acids can create white spots. These spots are early signs of tooth decay. Consistent, thorough cleaning and regular dental checkups are vital to remove plaque and stop the progression to cavities.
Enamel Hypoplasia
Enamel hypoplasia is a condition where the enamel does not fully develop, resulting in thinner enamel and a higher risk of white spots. This condition can be caused by various factors, including infections, trauma, or nutritional deficiencies during tooth development. The weakened enamel is more vulnerable to demineralization. The severity of the condition can vary, with mild cases showing subtle white spots and severe cases showing significant enamel defects and discoloration. Careful dental care from an early age is important.
Early Decay

White spots can be an early sign of tooth decay. As bacteria in the mouth produce acids that attack the enamel, the enamel begins to demineralize. The loss of minerals creates a porous surface, which appears as a white spot. If detected early, the decay can often be reversed with fluoride treatments and improved oral hygiene. However, if left untreated, the decay will progress, leading to cavities and more extensive dental work.
Dietary Factors
Dietary habits play a significant role in the development of white spots. Frequent consumption of sugary and acidic foods and drinks can erode enamel, increasing the risk of demineralization. Sugary snacks and beverages feed bacteria, promoting acid production. Acidic foods, such as citrus fruits and vinegar-based dressings, directly wear away the enamel. A balanced diet low in sugars and acids is crucial for maintaining healthy enamel. Consuming these foods in moderation and drinking water after meals can help mitigate the risk.
Trauma
Trauma to the teeth, whether from an injury or other damage, can disrupt enamel formation or cause damage, increasing the risk of white spots. A direct impact can lead to microscopic cracks or fractures in the enamel, making it more susceptible to demineralization. The appearance of white spots after a dental injury should prompt a dental evaluation to assess the extent of the damage. Prompt treatment can prevent further damage and maintain the tooth’s appearance.
Genetics

Genetic factors can also influence the development of white spots. Some individuals may inherit a predisposition to enamel defects or weaker enamel, making them more vulnerable to demineralization. Genetic conditions can affect enamel formation or the tooth’s ability to mineralize properly. Understanding the genetic component is essential for comprehensive dental care. Those at higher risk might need proactive care.
How to Diagnose White Spots on Teeth
Diagnosing white spots on teeth typically involves a combination of professional and self-assessment methods. Recognizing the characteristics and potential causes of these spots is the first step in determining the appropriate course of action. Early and accurate diagnosis plays a critical role in successful treatment and prevention of further dental issues. Regular dental checkups are important, but understanding the process can help individuals be more proactive about their oral health.
Professional Diagnosis
A dentist performs a comprehensive examination. They will visually inspect the teeth for white spots. They will use a dental explorer to feel the tooth’s surface for any roughness or defects. X-rays may be used to assess the extent of any decay and identify any areas of demineralization. The dentist will evaluate the patient’s oral hygiene habits, dietary patterns, and medical history to determine the cause and extent of the spots. Based on the diagnosis, the dentist will recommend the most appropriate treatment options.
Home Assessment

Patients can also perform a self-assessment to monitor their teeth for white spots. Regularly looking at your teeth in a well-lit environment can help identify new or changing spots. Examining the teeth after brushing, when they are clean, is useful. Taking note of the location, size, and appearance of the spots is helpful. If any changes are noticed, it’s essential to schedule an appointment with a dentist. Home assessments are not a substitute for professional dental care but can help you stay informed.
Treatment Options for White Spots on Teeth
Several effective treatment options are available to address white spots on teeth. The best approach depends on the cause and severity of the spots. Treatments range from simple cosmetic procedures to more involved dental interventions. The goal is to improve the appearance of the teeth and, when necessary, address any underlying dental health issues. Consulting with a dentist is essential to determine the most suitable treatment plan.
Microabrasion
Microabrasion involves gently removing a thin layer of enamel using a mildly abrasive agent combined with an acid. This procedure can effectively remove shallow white spots and improve the tooth’s surface appearance. Microabrasion is a minimally invasive technique often used for superficial enamel imperfections. It can be a cost-effective solution for mild to moderate white spots. The dentist polishes the teeth after removing the spots, giving them a smoother, more even appearance.
Teeth Whitening

Teeth whitening can help reduce the contrast between white spots and the surrounding enamel. Whitening agents, such as those containing hydrogen peroxide or carbamide peroxide, can lighten the overall shade of the teeth. This makes the white spots less noticeable. Whitening can be done in-office or at home with custom-fitted trays. It is most effective when the white spots are mild. The dentist will assess the suitability of teeth whitening and advise on the best approach.
Fluoride Treatment
Fluoride treatment can help remineralize the enamel and strengthen the teeth, potentially reducing the appearance of white spots. Fluoride encourages the reabsorption of minerals into the enamel, making the tooth surface more resistant to acid attacks. Professional fluoride treatments can be applied in the dental office. Fluoride toothpaste and mouthwashes can be used at home. Fluoride treatment is especially useful for early-stage demineralization. The dentist will determine the optimal fluoride concentration and application frequency.
Dental Fillings and Veneers
In cases where white spots are severe, dental fillings or veneers may be necessary. Fillings are used to treat cavities and repair damage caused by decay. Veneers are thin shells of porcelain or composite resin bonded to the front surface of the teeth. Veneers can mask white spots, improve the appearance of the teeth, and provide a durable, long-lasting cosmetic solution. The dentist will determine whether fillings or veneers are the most appropriate option based on the extent of the damage and the patient’s aesthetic goals.
Preventing White Spots on Teeth

Preventing white spots on teeth is a proactive approach. It focuses on minimizing the risk factors associated with their development. Implementing good oral hygiene, maintaining a balanced diet, and attending regular dental checkups can significantly reduce the likelihood of white spots. These preventive measures not only improve the appearance of the teeth but also contribute to overall oral health.
Good Oral Hygiene Practices
Establishing and maintaining good oral hygiene is crucial in preventing white spots. Brushing teeth twice daily with fluoride toothpaste helps remove plaque and bacteria, reducing the risk of acid attacks on the enamel. Flossing daily removes food particles and plaque from between the teeth, where the toothbrush can’t reach. Using an antibacterial mouthwash can further reduce bacteria in the mouth. Good oral hygiene not only reduces the likelihood of white spots but also prevents cavities and gum disease.
Balanced Diet and Nutrition
A balanced diet plays a critical role in oral health. Limiting the consumption of sugary and acidic foods and drinks minimizes the risk of enamel erosion and demineralization. Eating a diet rich in calcium and other nutrients promotes strong and healthy teeth. Incorporating foods like fruits, vegetables, and dairy products is important. Drinking plenty of water helps rinse away food particles and neutralizes acids in the mouth. Choosing snacks wisely, like nuts and cheese, is a better option than sugary treats.
Regular Dental Checkups
Regular dental checkups are essential for early detection and prevention of white spots and other dental issues. Visiting the dentist at least twice a year allows professionals to monitor your oral health and identify any potential problems. During checkups, the dentist will perform a thorough examination, including X-rays, to identify early signs of decay or enamel defects. Professional cleanings remove plaque and tartar that brushing and flossing can’t remove. Regular checkups ensure timely intervention and preventative care.
Conclusion
White spots on teeth are a common cosmetic concern with various underlying causes, including fluorosis, poor oral hygiene, and enamel hypoplasia. Understanding these causes is crucial for effective prevention and treatment. Treatment options range from microabrasion and teeth whitening to fluoride treatments, fillings, and veneers. Implementing good oral hygiene practices, maintaining a balanced diet, and attending regular dental checkups are key to preventing white spots and maintaining a healthy, confident smile. By taking a proactive approach, individuals can effectively address and prevent white spots on their teeth, improving both their appearance and oral health.
