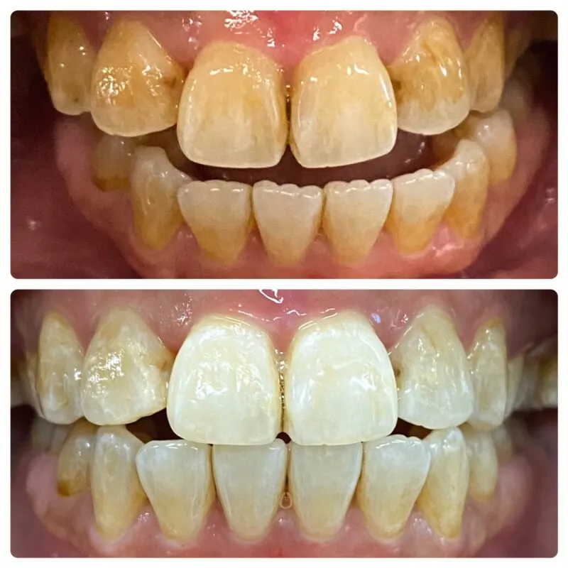
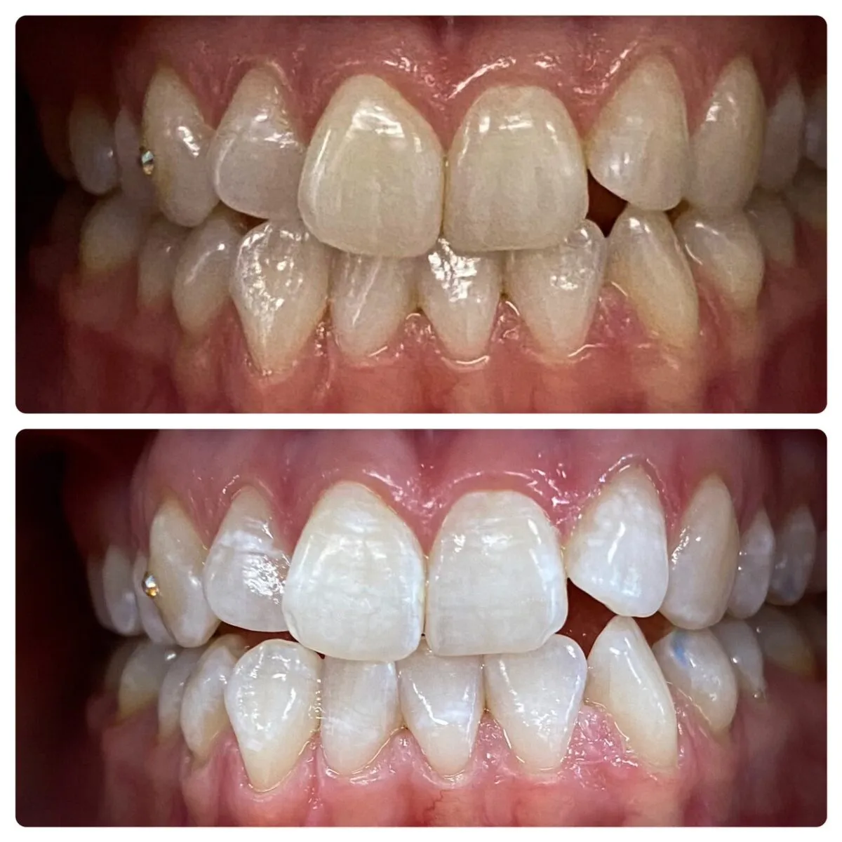
What is Ultra Whitening Therapy
Ultra Whitening Therapy, often referred to as teeth whitening, is a cosmetic dental procedure designed to lighten the shade of your teeth. This process aims to remove stains and discoloration, resulting in a brighter, more aesthetically pleasing smile. It’s one of the most popular cosmetic treatments due to its effectiveness and relatively non-invasive nature. The goal of ultra whitening is to enhance the natural beauty of your teeth and boost your confidence.
Understanding the Science Behind Ultra Whitening
Teeth whitening works by using bleaching agents, typically hydrogen peroxide or carbamide peroxide. These agents penetrate the enamel of your teeth and break down the stain molecules. This process oxidizes the discolored compounds, effectively lightening the teeth. The effectiveness of the treatment depends on the concentration of the bleaching agent, the duration of the application, and the type of stains present. The science behind this process is well-established, making it a reliable cosmetic procedure.
Common Causes of Discoloration

Several factors contribute to teeth discoloration. Dietary habits play a significant role, with coffee, tea, red wine, and certain foods like berries being major culprits. Smoking and tobacco use are also significant contributors. Age-related changes, where the enamel thins over time, revealing the yellowish dentin underneath, can also lead to discoloration. In addition, certain medications and medical treatments can cause tooth staining. Understanding these causes is essential for prevention and effective treatment.
Types of Ultra Whitening Therapy
There are primarily two main types of ultra whitening therapy available professional teeth whitening and at-home whitening kits. Each method offers different levels of convenience, cost, and effectiveness. Choosing the right type depends on individual needs, the severity of discoloration, and personal preferences. Consulting with a dental professional is crucial to determine the most appropriate option.
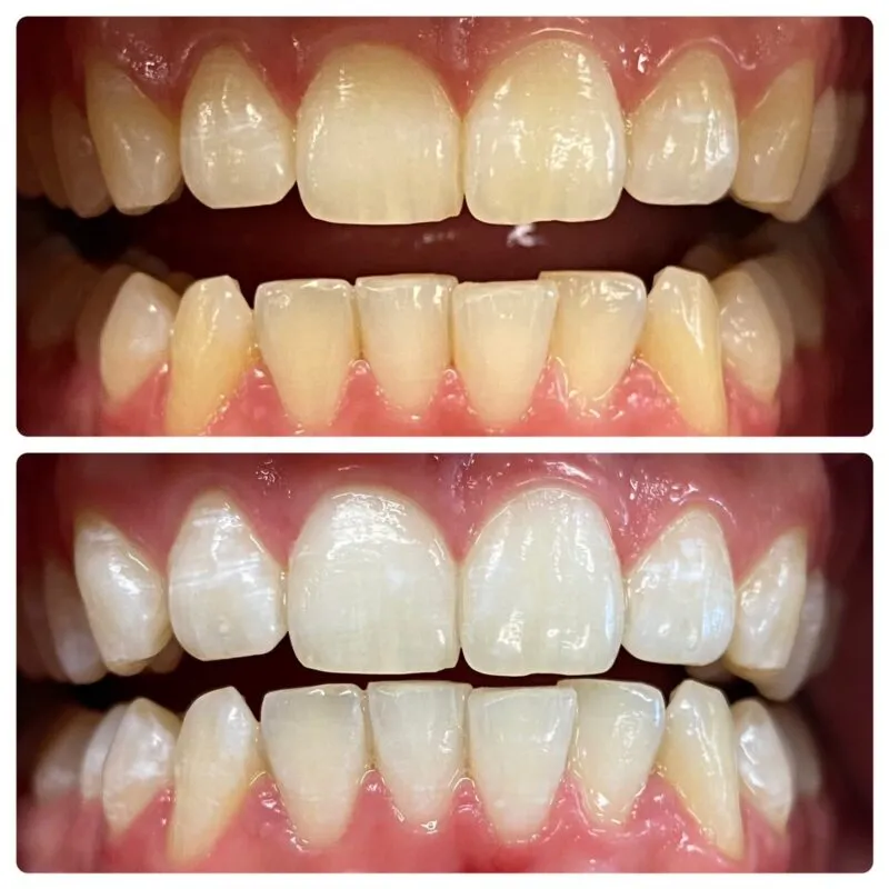
Professional Teeth Whitening
Professional teeth whitening, performed by a dentist, offers the most significant results. This method typically involves a higher concentration of bleaching agents and is administered under controlled conditions, ensuring safety and efficacy. The process is faster than at-home treatments, often completed within a single office visit, and the results are generally more dramatic and long-lasting. This is an efficient approach for achieving a significantly whiter smile.
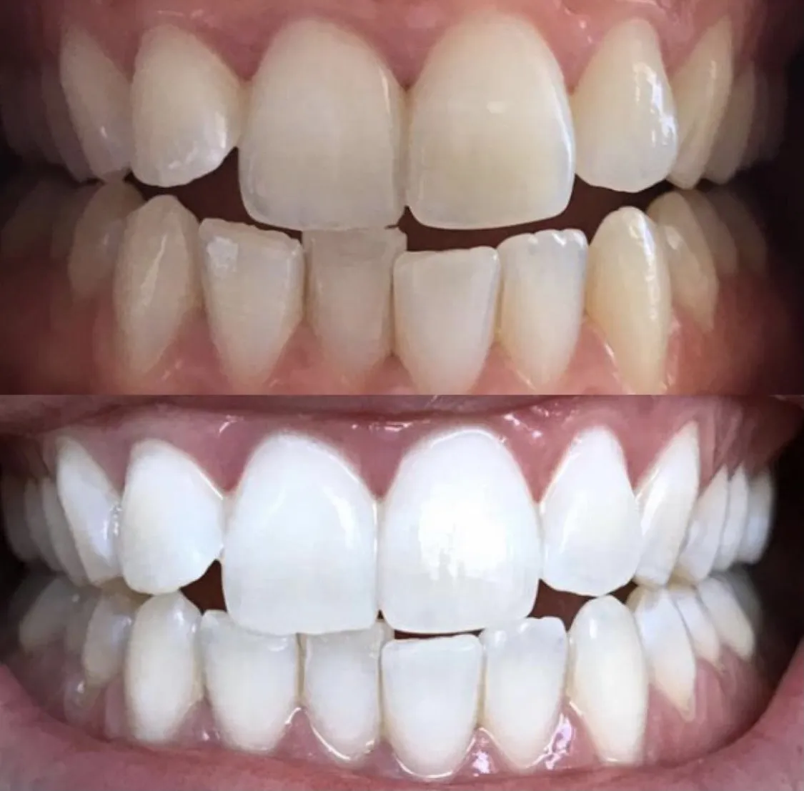
In-Office Whitening Procedures

In-office whitening procedures involve the application of a high-concentration bleaching gel to the teeth, usually after isolating the gums with a protective barrier. The dentist may use a special light or laser to accelerate the whitening process. The entire procedure, including preparation and multiple rounds of gel application, typically takes about an hour. The immediate results can be quite remarkable, offering a dramatically brighter smile right away. This is the fastest method for visible teeth whitening.
At-Home Whitening Kits
At-home whitening kits provide a more convenient and cost-effective alternative. These kits typically include custom-fitted trays filled with a lower concentration of bleaching gel. The trays are worn for a specified amount of time each day, typically for several weeks, to achieve desired results. At-home kits offer flexibility, allowing you to whiten your teeth at your convenience. However, they often require more patience and may not achieve the same level of whitening as professional treatments.
Whitening Toothpastes and Rinses
Whitening toothpastes and rinses offer a gentler approach to teeth whitening. These products contain mild abrasives or chemical agents that help remove surface stains. While they can improve the brightness of your teeth, they are generally less effective than professional or at-home whitening kits. They are often used to maintain the results of other whitening treatments or to enhance overall oral hygiene. Regular use can help maintain a brighter smile.
Choosing the Right Ultra Whitening Therapy

Selecting the right ultra whitening therapy depends on your individual needs and goals. Consider the severity of the discoloration, your budget, and your desired results. If you have significant stains or want immediate and dramatic results, professional teeth whitening may be the best option. If you’re on a budget or prefer a more gradual approach, at-home kits or whitening toothpastes could be suitable. Always consult with your dentist to determine the most appropriate treatment.
Consulting with a Dental Professional
Before starting any whitening treatment, consulting with a dentist is essential. A dental professional can assess your oral health, identify the cause of the discoloration, and recommend the most appropriate treatment option. They can also check for existing dental issues, such as cavities or gum disease, that need to be addressed before whitening. A professional consultation ensures the safety and effectiveness of your chosen therapy.
Factors to Consider
Several factors can influence your choice of whitening therapy. The sensitivity of your teeth is an important consideration, as some treatments can cause temporary sensitivity. The type and severity of stains also affect the effectiveness of different treatments. Your budget and the time you are willing to dedicate to the process are also important factors. Consider your lifestyle habits, such as smoking and dietary preferences, which can affect the longevity of your results.
The Ultra Whitening Therapy Process

The ultra whitening therapy process varies depending on the chosen method. Professional treatments involve in-office procedures, while at-home kits require consistent application. Understanding the steps involved can help you prepare and achieve the best possible results.
Pre-Treatment Preparations
Before any whitening treatment, a dental check-up and cleaning are often recommended. This ensures that your teeth are free from plaque, tartar, and any underlying dental issues. For professional treatments, the dentist will often take a shade assessment to document the initial color of your teeth. For at-home kits, you’ll typically receive custom-fitted trays. These preparations are crucial for ensuring the success of the whitening process.
The Whitening Procedure Itself
During in-office whitening, the dentist will apply a protective barrier to your gums and lips. A high-concentration bleaching gel is then applied to the teeth, and a special light or laser may be used to enhance the whitening effect. The gel is typically applied in several rounds, each lasting about 15-20 minutes. For at-home kits, you will place the bleaching gel in the custom trays and wear them for the recommended time, usually for several hours a day or overnight.
Post-Treatment Care

After your whitening treatment, it’s important to follow post-treatment care instructions. Avoid consuming staining foods and drinks, such as coffee, tea, and red wine, for at least 24-48 hours. Use a sensitivity toothpaste if you experience any discomfort. Maintain good oral hygiene by brushing and flossing regularly. Follow your dentist’s specific instructions to maximize and maintain your results. Also, be sure to schedule regular dental check-ups.
Maintaining Your Ultra Whitening Results
Maintaining the results of your ultra whitening therapy requires consistent effort and attention to detail. Several factors contribute to the longevity of your whiter smile.
Dietary Considerations
Your diet plays a significant role in maintaining your white smile. Minimize the consumption of staining foods and drinks, such as coffee, tea, red wine, and dark-colored fruits and sauces. If you do consume these items, rinse your mouth with water immediately afterward. A healthy diet rich in fruits, vegetables, and dairy products can also support oral health and help maintain your results. Being mindful of what you eat and drink is crucial for long-lasting results.
Oral Hygiene Practices

Maintaining excellent oral hygiene is essential for preserving your white smile. Brush your teeth at least twice a day with a whitening toothpaste containing fluoride. Floss daily to remove plaque and debris from between your teeth. Consider using an antibacterial mouthwash to help prevent staining and freshen breath. Regular dental check-ups and professional cleanings are also vital to remove any surface stains and maintain the results of your whitening treatment.
Potential Risks and Side Effects
While ultra whitening therapy is generally safe, there are potential risks and side effects to be aware of. It is important to discuss these with your dentist before undergoing any treatment.
Sensitivity and Irritation
Tooth sensitivity is a common side effect of teeth whitening, particularly during and immediately after treatment. This sensitivity is typically temporary and subsides within a few days. Gum irritation can also occur, especially if the bleaching agent comes into contact with the gums. Using a sensitivity toothpaste and following the dentist’s instructions can help minimize these side effects. Discuss any persistent discomfort with your dentist.
Other Potential Complications
In rare cases, other complications may arise from teeth whitening, such as uneven whitening or changes in the enamel. These complications are rare and usually occur due to improper use of whitening products or underlying dental issues. If you experience any unusual symptoms, contact your dentist immediately. It is also important to note that whitening treatments may not be effective on all types of stains, such as those caused by certain medications.
Frequently Asked Questions About Ultra Whitening Therapy
Many people have questions about ultra whitening therapy. Understanding the answers to common questions can help you make an informed decision.
Effectiveness and Longevity
The effectiveness of teeth whitening varies depending on the treatment method and the individual’s habits. Professional treatments generally provide more dramatic and longer-lasting results than at-home kits. Results can last from several months to a few years, depending on factors such as diet, oral hygiene, and lifestyle. Regular touch-up treatments and good oral hygiene can help maintain your results. The longevity of the whitening is also determined by the type of stains.
Cost and Insurance Coverage
The cost of ultra whitening therapy varies depending on the treatment type and location. Professional in-office whitening is typically more expensive than at-home kits. Whitening procedures are generally considered cosmetic and are usually not covered by dental insurance. It is important to inquire about the cost and payment options before starting any treatment. Consider the long-term value and benefits when evaluating the cost. Researching the different options can help you find a treatment that fits within your budget.
Conclusion
Ultra Whitening Therapy offers an effective solution for achieving a brighter, more confident smile. By understanding the different types of treatments, the process, and the potential risks and benefits, you can make an informed decision about whether it is right for you. Consulting with a dental professional is essential for personalized advice and the best possible outcome. With proper care and maintenance, you can enjoy a dazzling smile for years to come. Embrace the transformative power of teeth whitening and smile with confidence!
