The Best Teeth Whitening Wellington Secret Revealed
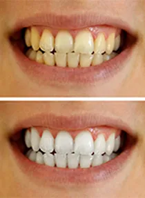
Are you dreaming of a brighter, more dazzling smile? Teeth whitening in Wellington offers a fantastic solution to enhance your pearly whites and boost your confidence. However, with numerous options available, it can be challenging to navigate the world of teeth whitening. This guide reveals the top 5 secrets to achieving a stunning smile in Wellington, ensuring you make informed decisions and achieve the best results. From professional treatments to at-home solutions, discover the insider tips that will transform your smile.
Understanding Teeth Whitening Options
Before diving into the secrets, it’s essential to understand the various teeth whitening options available in Wellington. Broadly, these options fall into two categories in-office and at-home treatments. Each method offers unique benefits and considerations, so understanding the differences will help you choose the best approach for your specific needs and desired outcomes. It is also important to understand that not every option is suitable for everyone; factors like the type of staining, tooth sensitivity, and overall oral health play a crucial role in determining the most effective treatment.
In-Office Teeth Whitening

In-office teeth whitening, often performed by a dental professional in Wellington, is a highly effective way to achieve dramatic results quickly. This method typically involves the use of a high-concentration bleaching agent, often activated by a special light or laser to accelerate the whitening process. The entire procedure is completed within a single visit, making it ideal for those seeking immediate and noticeable improvements. The benefits include professional supervision, which minimizes the risk of gum irritation or sensitivity, and the ability to achieve multiple shades lighter in a short time.
Professional Teeth Whitening Process
The professional teeth whitening process in Wellington begins with a thorough examination and cleaning to ensure your teeth are free from plaque and tartar. Next, a protective barrier is applied to your gums to prevent irritation from the bleaching agent. The whitening agent is then carefully applied to the teeth, and a special light or laser may be used to activate the bleaching process. The process is often repeated several times during the same session, with results visible immediately. The dentist will provide post-treatment instructions to ensure the longevity of your brighter smile.
Home Teeth Whitening Kits
For those seeking a more convenient and cost-effective solution, home teeth whitening kits offer an excellent alternative. These kits typically include custom-fitted trays or strips, along with a lower-concentration bleaching agent. The advantage of home kits is the flexibility to whiten your teeth at your own pace, in the comfort of your home. While results may take longer to appear than with in-office treatments, home kits are a popular choice for maintaining or slightly improving the shade of your teeth. It is critical to follow the instructions carefully to avoid any potential side effects.
The Importance of Consultation

Before undertaking any teeth whitening treatment in Wellington, a consultation with a dental professional is paramount. During this consultation, your dentist will assess your oral health, discuss your expectations, and recommend the most appropriate whitening method for your specific needs. The consultation allows the dentist to identify any underlying issues, such as cavities or gum disease, that need to be addressed before whitening. This step ensures a safe and effective treatment plan tailored to your individual circumstances.
Secret 1 The Power of Professional Whitening
The first secret to achieving a brilliant smile in Wellington is embracing the power of professional teeth whitening. This method often yields the most dramatic and immediate results, as dentists use stronger bleaching agents and specialized techniques. The expertise of a dental professional ensures the treatment is safe, effective, and tailored to your specific needs. Professional whitening is particularly beneficial for deep stains and discoloration that may not respond well to over-the-counter products.
Why Professional Whitening?
Professional teeth whitening offers several advantages over at-home methods. The higher concentration of bleaching agents used by dentists can significantly lighten your teeth in a single session. Furthermore, dentists can address sensitivity issues and provide customized solutions to maximize your comfort during the procedure. Professional treatments are also safer, as dentists can monitor your progress and make adjustments to the treatment as needed. This also minimizes the risk of complications and maximizes your chance of a successful, long-lasting outcome.
Benefits of In-Office Treatments

In-office treatments in Wellington provide several benefits. Firstly, they offer immediate results, ideal for those seeking a quick smile transformation. Secondly, dentists use advanced techniques and equipment to ensure the best possible outcome. Thirdly, professional whitening is conducted under controlled conditions, minimizing the risk of adverse effects. The entire process is efficient, allowing you to achieve a brighter smile without the hassle of at-home treatments. Your dentist will also guide you on how to maintain your results for a longer duration.
Secret 2 Mastering the Art of At-Home Whitening
The second secret involves mastering the art of at-home whitening. While professional treatments offer rapid results, at-home kits can be an effective and convenient way to maintain and enhance your smile. The key to success lies in choosing the right kit, following the instructions meticulously, and understanding the importance of safety. With the proper approach, you can achieve a brighter smile from the comfort of your home, all while saving time and money. Careful application and adherence to safety guidelines are essential.
Choosing the Right Kit
Selecting the right at-home whitening kit is crucial for achieving your desired results. There are various options available, including whitening strips, trays, and toothpastes. Consider the strength of the bleaching agent, the duration of the treatment, and any potential sensitivity issues. Consulting your dentist can provide valuable insights into the best kit for your needs. Look for kits that are approved by dental associations, ensuring they meet safety standards. You can also check customer reviews and recommendations to gather more information before making your decision.
Application and Safety

When using at-home whitening kits, it is essential to follow the instructions precisely. Improper application can lead to uneven whitening or increased tooth sensitivity. Make sure you understand how long to wear the strips or trays, and do not exceed the recommended time. Always use the product as directed and be mindful of any potential side effects, such as gum irritation. If you experience any discomfort, discontinue use and consult your dentist. Prioritizing safety and adherence to guidelines is key to achieving a brighter smile.
Secret 3 The Role of Diet and Lifestyle
The third secret involves understanding the significant role of diet and lifestyle in maintaining a bright smile. The foods and drinks you consume, as well as habits like smoking, can significantly impact the color of your teeth. By making conscious choices about your diet and lifestyle, you can prevent staining and extend the longevity of your whitening treatment. This secret highlights the importance of proactive oral care and how it supports your quest for a brighter smile. A healthy diet and lifestyle also contribute to overall oral health.
Foods and Drinks to Avoid
Certain foods and drinks are known to stain teeth, including coffee, tea, red wine, and dark-colored berries. Reducing your intake of these items can help prevent staining. If you consume these beverages, consider using a straw to minimize contact with your teeth. Regular rinsing with water can also help remove stain-causing particles. Being mindful of your diet and making smart choices is a proactive step in maintaining your bright, white smile.
The Impact of Smoking

Smoking is a significant contributor to tooth discoloration and can also compromise your overall oral health. The nicotine and tar in tobacco products can cause yellowing and staining of the teeth. Furthermore, smoking increases the risk of gum disease and other dental problems, negatively affecting your smile. Quitting smoking is one of the most effective steps you can take to maintain a healthy, bright smile. If you are a smoker and considering teeth whitening in Wellington, consult your dentist for advice on how to manage your habits.
Secret 4 Maintaining Your Bright Smile
The fourth secret focuses on the importance of maintaining your bright smile after whitening treatments. This involves adopting a consistent oral hygiene routine, following your dentist’s recommendations, and scheduling regular dental check-ups. Taking care of your teeth after whitening is crucial for maximizing the longevity of your results and preventing future staining. This secret emphasizes the significance of long-term oral care.
Post-Whitening Care
Following post-whitening care instructions is essential to preserving your newly whitened teeth. This typically includes avoiding staining foods and drinks for a few days after the treatment. You may also need to use a desensitizing toothpaste if you experience sensitivity. Your dentist will provide specific guidelines for your situation, which may include avoiding certain foods and drinks. This will help keep your teeth whiter for longer and keep your smile looking its best.
Regular Dental Check-ups

Regular dental check-ups are an important part of maintaining a bright smile. During these visits, your dentist can monitor your oral health, address any emerging issues, and provide professional cleaning to remove surface stains. Regular check-ups allow your dentist to provide recommendations on your oral hygiene and assess the effectiveness of your whitening treatment. Maintaining routine dental appointments is a vital step in preserving your bright, white smile.
Secret 5 Finding the Right Practitioner
The fifth secret is about finding the right practitioner for your teeth whitening needs in Wellington. Choosing a qualified, experienced dentist is essential for achieving the best results and ensuring your safety. Researching different dental practices, reading reviews, and considering your comfort level with the dentist are important steps. Your dentist should not only have expertise in teeth whitening but also prioritize your individual needs and concerns. Finding the right practitioner is the key to a successful and satisfying teeth whitening experience.
Research and Reviews
Before choosing a dentist for teeth whitening in Wellington, conduct thorough research. Look for dentists with experience in cosmetic dentistry and read online reviews from previous patients. Check their credentials and qualifications, and consider whether they have a good reputation within the community. This will help you evaluate their expertise and the quality of care they provide. Patient reviews provide valuable insights into the dentist’s professionalism and how they manage patient satisfaction. Make your decision based on reliable information and feedback.
Making an Informed Choice

Making an informed choice involves more than just reading reviews. Schedule a consultation with the dentist to discuss your goals, ask questions, and assess their communication style. Ensure that the dentist understands your expectations and can explain the teeth whitening process clearly. Pay attention to the practice’s environment, the friendliness of the staff, and the overall level of service. Choosing the right practitioner should be based on a combination of research, consultation, and personal comfort. The goal is to make an informed decision to achieve a brighter, healthier smile.
In conclusion, achieving a brighter smile with teeth whitening in Wellington involves understanding the various options, from professional treatments to at-home kits. By following these top 5 secrets, you can make informed decisions, take proactive steps in maintaining your results, and find the right practitioner to achieve a stunning smile. Remember to consult with a dental professional, prioritize your oral health, and enjoy the confidence that comes with a radiant, white smile.
