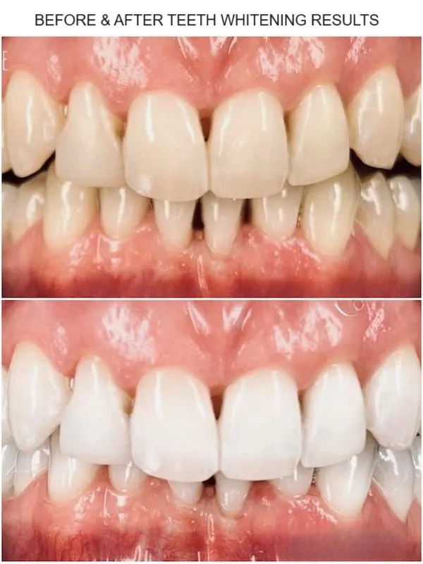
Understanding Teeth Whitening Results
Achieving the smile you’ve always dreamed of often involves teeth whitening, a popular cosmetic procedure designed to brighten and lighten the shade of your teeth. However, it’s essential to understand what teeth whitening can realistically achieve to set appropriate expectations and ensure satisfaction with the results. The effectiveness of teeth whitening varies from person to person, depending on factors such as the type and severity of tooth discoloration, the chosen whitening method, and individual oral health. Understanding the underlying principles of teeth whitening and the various treatment options available is the first step towards attaining the desired outcome and maintaining a radiant smile. Proper knowledge empowers you to make informed decisions about the best approach for your specific needs and helps manage expectations about what’s possible and what’s not.
Factors Influencing Teeth Whitening
Several factors play a crucial role in determining the ultimate outcome of teeth whitening. Understanding these influences can help you better anticipate the potential results and tailor your approach accordingly. The most significant factor is the type and intensity of the staining or discoloration on your teeth. Surface stains, caused by substances like coffee, tea, and tobacco, are typically easier to address than intrinsic stains, which originate from within the tooth structure. The natural shade of your teeth also matters; some individuals have inherently brighter teeth than others, which affects how well the whitening agents work. Additionally, the chosen whitening method and the strength of the whitening agent impact the final result. Furthermore, your oral health status, including any existing fillings, crowns, or other dental work, can affect the uniformity of the whitening effect, and the enamel thickness also plays a role.
Tooth Staining and Discoloration

Tooth staining and discoloration can manifest in various forms, impacting the aesthetic appeal of your smile. Extrinsic stains, those that appear on the tooth surface, are often caused by dietary habits such as consuming coffee, tea, red wine, and dark-colored foods. Smoking and tobacco use also contribute significantly to extrinsic staining. These stains typically respond well to teeth whitening treatments. Intrinsic stains, on the other hand, originate from within the tooth structure itself. These might be caused by factors such as aging, excessive fluoride exposure during tooth development, certain medications (like tetracycline), or trauma to the tooth. Intrinsic stains can be more challenging to whiten and may require more aggressive or prolonged treatment methods. Identifying the type and origin of your stains is crucial in determining the most effective teeth whitening strategy.
Types of Teeth Whitening Treatments
The landscape of teeth whitening treatments offers a variety of options, each with its own set of advantages, limitations, and suitability for different needs. These treatments range from professional procedures performed by dental professionals to at-home kits available over-the-counter. The primary goal of all these methods is to use bleaching agents, typically hydrogen peroxide or carbamide peroxide, to break down stain molecules and lighten the teeth. The concentration of the bleaching agent and the duration of the treatment play a key role in the overall effectiveness. Selecting the right treatment depends on the severity of discoloration, budget, lifestyle, and personal preferences.
Professional Whitening
Professional teeth whitening, often performed in a dental office, offers several advantages. Dentists use higher concentrations of bleaching agents, allowing for faster and more dramatic results. The process usually involves isolating the teeth and applying the whitening agent, often combined with a special light or laser to accelerate the bleaching process. This method is highly effective for both extrinsic and intrinsic stains. Because the procedure is carried out under professional supervision, any potential risks or side effects can be closely monitored and managed. Professional whitening is a great option for those seeking immediate and significant improvements in the shade of their teeth, though it tends to be more expensive than at-home alternatives. It’s essential to have a consultation with a dentist before treatment to assess your oral health and determine if this is the right approach for you.
At-Home Whitening Kits

At-home teeth whitening kits provide a convenient and cost-effective alternative to professional treatments. These kits typically include custom-fitted or pre-fabricated trays and whitening gels with lower concentrations of bleaching agents. The user applies the gel to the trays and wears them for a specified amount of time daily or nightly, according to the product instructions. Results from at-home kits are generally more gradual than those from in-office treatments, and their effectiveness may depend on the type and severity of staining. It’s crucial to follow the instructions carefully and consult with a dentist before starting any at-home whitening regimen. This is particularly important to ensure the product is safe for your oral health and to address any pre-existing dental issues that might affect the outcome.
Realistic Expectations
Setting realistic expectations is paramount when considering teeth whitening. It’s important to understand that teeth whitening isn’t a one-size-fits-all solution, and the results can vary widely. The degree of whitening achieved depends on the original shade of your teeth, the type of staining, and the whitening method. While teeth whitening can significantly improve the brightness of your smile, it won’t necessarily produce a perfectly uniform, blindingly white result for everyone. Factors like the natural shade of your teeth, the presence of fillings or crowns, and the thickness of your enamel all play a role. Some people may achieve a noticeable improvement in just a few days, while others may require weeks of treatment to see a similar change. Being aware of these variables helps manage expectations and ensures satisfaction with the outcome.
Achieving Optimal Results
To maximize the effectiveness of teeth whitening and maintain the results for as long as possible, consider these strategies. Before starting any whitening treatment, it’s advisable to consult with a dentist to determine the best method and address any underlying oral health issues. Following the product instructions meticulously is crucial for at-home kits. Maintaining a consistent whitening schedule and avoiding foods and beverages that can stain teeth, such as coffee, tea, red wine, and dark-colored berries, will help preserve the brightness. Using a whitening toothpaste and mouthwash can also complement your whitening efforts. Additionally, scheduling regular dental check-ups and cleanings can help maintain your results and detect any potential problems early. Consider a touch-up treatment as needed to keep your smile looking its best.
Maintaining Your White Smile

The longevity of your teeth whitening results depends significantly on your lifestyle and oral hygiene practices. Avoiding or minimizing consumption of stain-causing foods and drinks is one of the most important steps. If you do consume these items, rinsing your mouth with water or brushing your teeth shortly afterward can help prevent staining. Using a straw for beverages like coffee, tea, and soda can also reduce their contact with your teeth. Quitting smoking and avoiding other tobacco products is essential. Furthermore, practicing excellent oral hygiene, including brushing twice a day for two minutes each time, flossing daily, and regular dental check-ups and cleanings, are essential for preserving a bright smile. In cases where the results begin to fade, periodic touch-up treatments, as recommended by your dentist, can help maintain your desired level of whiteness.
Dietary and Lifestyle Adjustments
Your dietary and lifestyle choices have a significant impact on the lasting effect of teeth whitening. Certain foods and beverages are notorious for staining teeth. Reducing or eliminating these from your diet is highly recommended. Coffee, tea, red wine, and dark-colored juices like grape juice are major culprits. Also, be mindful of highly pigmented fruits and vegetables, such as berries and beets. If you do consume these items, rinse your mouth with water immediately afterward. Avoid smoking and chewing tobacco, as these can severely stain teeth and diminish the effects of teeth whitening. Making these adjustments doesn’t mean you have to completely deprive yourself but being mindful of your consumption can help significantly in maintaining the results of your whitening treatment.
Oral Hygiene Practices
Maintaining a consistent and effective oral hygiene routine is critical for preserving your teeth whitening results and overall dental health. Brushing your teeth twice a day for two minutes each time is essential. Use a toothbrush with soft bristles and fluoride toothpaste, which helps strengthen enamel and protect against stains. Flossing daily removes plaque and food particles from between your teeth and along the gumline, areas that your toothbrush can’t reach. Using an antimicrobial mouthwash can also help reduce bacteria in your mouth and prevent staining. Regularly visit your dentist for check-ups and professional cleanings, as this can help remove any surface stains and maintain your bright smile. Proper oral hygiene practices ensure that your teeth remain healthy and white.
Risks and Side Effects

While teeth whitening is generally a safe procedure, it’s important to be aware of the potential risks and side effects. The most common side effects include tooth sensitivity and gum irritation. These issues are usually temporary and subside once the treatment is complete or the concentration of the bleaching agent is reduced. In rare cases, excessive use of whitening products can lead to more severe complications. Understanding these risks helps you make an informed decision about teeth whitening and take appropriate precautions. It’s crucial to consult with your dentist before beginning any whitening treatment to assess your oral health and determine if teeth whitening is safe and suitable for you.
Tooth Sensitivity
Tooth sensitivity is a common side effect of teeth whitening. This occurs because the bleaching agents in the whitening products can penetrate the enamel and reach the dentin, which contains nerve endings. This can result in a sharp, temporary pain, particularly when consuming hot or cold foods and drinks. The degree of sensitivity varies from person to person, and is usually mild to moderate. There are several strategies to manage this sensitivity, such as using toothpaste specifically formulated for sensitive teeth before, during, and after the whitening treatment. Reducing the frequency or duration of the whitening treatment can also help. If sensitivity is severe or prolonged, consult your dentist. They may recommend a desensitizing treatment, such as fluoride varnish.
Gum Irritation
Gum irritation is another potential side effect of teeth whitening, although it’s less common than tooth sensitivity. This irritation can be caused by the whitening agent coming into contact with the gums. This can occur if the whitening trays don’t fit properly, or if the gel overflows. Symptoms may include redness, swelling, and soreness of the gums. To minimize the risk of gum irritation, it’s essential to use the whitening trays correctly, following the instructions provided. If you’re using an at-home kit, ensure the trays fit snugly against your teeth to minimize leakage of the whitening gel. For professional whitening, the dentist will take precautions to protect your gums, such as applying a protective barrier before the treatment. In case of irritation, discontinue the treatment and consult your dentist.
The Best Whitening Methods

Choosing the best teeth whitening method depends on your individual needs, preferences, and oral health. Professional in-office whitening is often the most effective way to achieve rapid and dramatic results, particularly for those with significant staining. These treatments use higher concentrations of bleaching agents under the supervision of a dentist. For those seeking a more convenient and budget-friendly option, at-home whitening kits can be a good choice. However, the results are generally more gradual, and it’s important to follow the instructions and consult with a dentist. The best whitening method is one that’s tailored to your specific circumstances and goals, with the help and guidance of a dental professional. Always consider your oral health and expectations when selecting a whitening method.
Professional Whitening Benefits
Professional teeth whitening offers several advantages, including the potential for faster and more dramatic results. Dentists use stronger bleaching agents, often combined with special lights or lasers to enhance the whitening process. The entire procedure is supervised by a trained dental professional, ensuring safety and minimizing the risk of complications. The dentist can also address any underlying oral health issues before starting the treatment and customize the whitening process to your specific needs. Professional whitening is ideal for those who want immediate results and have significant discoloration. The dentist can also provide recommendations for maintaining your results and offer touch-up treatments as needed. However, the cost is generally higher than at-home options.
At-Home Whitening Kit Considerations
At-home teeth whitening kits offer a convenient and more affordable option, but several factors should be considered. These kits typically use lower concentrations of bleaching agents, which means results may be more gradual. It’s crucial to carefully follow the instructions provided to ensure safe and effective use. Before using an at-home kit, it’s recommended to consult your dentist, to determine if it’s suitable for your teeth and overall oral health. Some kits may not be appropriate for individuals with certain dental conditions or existing restorations. Additionally, it’s important to be patient and realistic about the expected results, as at-home whitening generally takes longer to achieve the desired brightness. Always be mindful of potential side effects, such as tooth sensitivity and gum irritation, and consult your dentist if these issues arise.
Conclusion

Achieving realistic teeth whitening results requires understanding the various treatment options, setting appropriate expectations, and maintaining good oral hygiene practices. Professional whitening offers the most immediate and dramatic results, while at-home kits provide a convenient and cost-effective alternative. The effectiveness of any whitening method depends on several factors, including the type and severity of tooth staining, your oral health, and your adherence to the recommended guidelines. Always consult with your dentist to determine the best approach for your individual needs and to address any potential risks. With the right approach and a commitment to maintaining your results, you can achieve a brighter, more confident smile. Remember that regular dental check-ups and cleanings play a vital role in preserving your results and ensuring overall oral health.
