Understanding Teeth Whitening Prices in the Philippines
The desire for a brighter, whiter smile has made teeth whitening a popular cosmetic procedure in the Philippines. However, the cost of teeth whitening can vary significantly depending on several factors, making it essential to understand what influences these prices. This guide provides a comprehensive overview of teeth whitening prices in the Philippines, helping you navigate your options and make informed decisions. We’ll explore various treatments, from professional in-office procedures to at-home kits, and discuss the factors that affect the final cost. Understanding these aspects will help you achieve your desired results while staying within your budget. The goal is to empower you with the knowledge to choose the best whitening method for your needs, ensuring a confident, radiant smile without breaking the bank. Preparing yourself is an essential part of the entire process.
Factors Affecting Teeth Whitening Costs
Several factors contribute to the overall cost of teeth whitening in the Philippines. The type of treatment is a primary determinant, with in-office procedures generally being more expensive than at-home kits. The experience and reputation of the dentist or clinic also play a role; highly experienced professionals often charge more. The location of the clinic within the Philippines can impact pricing, with clinics in major cities often having higher prices compared to those in less populated areas. Moreover, the technology and materials used, such as the brand of whitening gel or the type of light used in laser treatments, can affect the overall cost. Furthermore, the complexity of the case, including the severity of discoloration and the number of teeth to be treated, influences the price. Therefore, a comprehensive understanding of these factors enables you to better assess and compare different options. When selecting a treatment, it’s crucial to consider not only the immediate cost but also the long-term value and the results you expect to achieve.
Type of Whitening Treatment H2

Different types of teeth whitening treatments are available in the Philippines, each with its own associated costs and benefits. The primary categories include professional in-office treatments and at-home whitening kits. The choice of treatment will depend on your budget, the severity of the discoloration, and your personal preferences. Understanding the differences between these options allows you to make an informed decision that aligns with your dental health goals. This section explores the specifics of each type of treatment, providing insights into their respective procedures, price ranges, and expected outcomes. This will help you to better understand the procedures.
In-Office Teeth Whitening
In-office teeth whitening, often performed by a dentist or dental hygienist, is the most expensive but often the most effective option. This method typically involves the application of a high-concentration whitening gel, which is then activated using a special light or laser. The entire procedure is completed in a single visit, usually lasting about an hour, and offers immediate results. Prices for in-office whitening can range significantly depending on the clinic and the technology used. While the initial cost is higher, the results are typically more dramatic and longer-lasting compared to at-home methods. The convenience and professional supervision make this a preferred choice for many individuals seeking quick and significant improvements in their smile’s brightness. This ensures a more thorough approach.
At-Home Teeth Whitening Kits
At-home teeth whitening kits offer a more budget-friendly alternative. These kits usually include custom-fitted trays or strips filled with a lower concentration of whitening agent. Patients wear these trays for a specified period each day or night, depending on the product instructions. Results are gradual, with noticeable whitening appearing over a few weeks. The cost of at-home kits is considerably less than in-office treatments, making them accessible for a wider range of budgets. While the process takes longer and the results may not be as dramatic, at-home kits are a convenient option for maintaining and enhancing the results of professional treatments. This method allows for a more personal experience with the results.
Professional vs. DIY Whitening

The choice between professional and DIY teeth whitening depends on individual needs and preferences. Professional whitening offers faster, more dramatic results under the supervision of a dental professional, ensuring safety and effectiveness. DIY kits are more affordable and convenient but require patience and adherence to instructions. Professional treatments are ideal for those seeking immediate and significant improvements and those with severe discoloration. DIY kits are suitable for those with mild staining, those on a budget, or those looking to maintain their whitening results after a professional treatment. Consulting with a dentist is recommended before starting any teeth whitening treatment to determine the most appropriate method and to address any underlying dental issues.
Cost Comparison for Professional Whitening
Professional teeth whitening costs vary widely across clinics in the Philippines. The price can depend on the clinic’s location, the dentist’s experience, and the specific whitening technology used. Generally, prices range from a few thousand to tens of thousands of pesos per session. Clinics in major cities like Manila and Cebu may charge more than those in smaller towns. Different whitening systems, such as laser or LED treatments, can also influence the cost. It’s crucial to compare prices from different clinics and inquire about the specific services included, such as pre-treatment consultations and post-treatment care. While it’s important to consider the cost, also consider the clinic’s reputation, patient reviews, and the dentist’s qualifications. A thorough comparison ensures that you receive quality service at a fair price, and this will help you decide what is best for you.
Dentist Consultation Fees
Before undergoing any teeth whitening procedure, a dentist consultation is crucial. Consultation fees vary depending on the clinic and the complexity of the examination. During the consultation, the dentist will assess your oral health, discuss your expectations, and recommend the most suitable whitening treatment. Consultation fees are usually a small fraction of the overall cost of the whitening procedure but are essential for ensuring that the treatment is safe and effective. The dentist will also check for any underlying dental issues, such as cavities or gum disease, that need to be addressed before whitening. This initial step helps prevent complications and ensures the best possible results. Always confirm the consultation fees before booking an appointment and inquire about any additional costs associated with the consultation, such as X-rays.
Whitening Procedures & Associated Costs

The costs associated with teeth whitening procedures include the treatment itself and any related services. In-office treatments typically involve the application of a whitening gel and the use of a special light or laser. The cost covers the dentist’s time, the materials used, and the clinic’s overhead. At-home kits include the cost of the whitening trays or strips and the whitening agent. Additional costs might include pre-treatment cleaning, such as scaling and polishing, to remove surface stains and improve the whitening results. Post-treatment care, such as sensitivity treatments or follow-up appointments, might also incur extra fees. Always inquire about all potential costs upfront to avoid surprises and to ensure you understand the total financial commitment. This knowledge allows you to budget accordingly and compare different treatment options effectively.
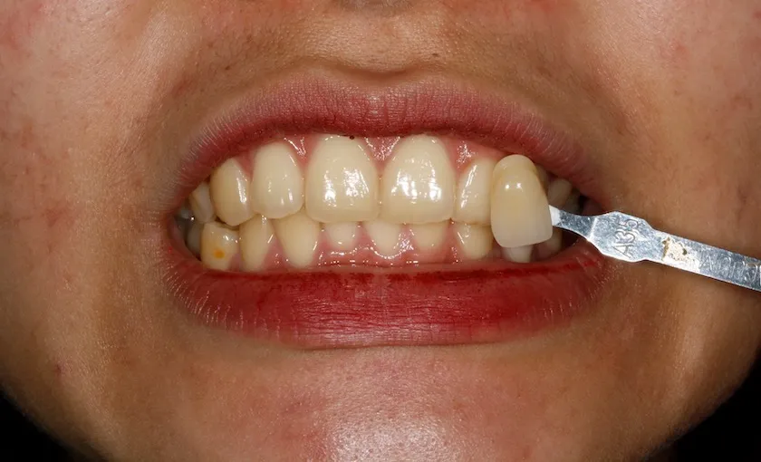
Different Whitening Methods
Several whitening methods are used in the Philippines, each with varying costs and effectiveness. The most common are in-office bleaching, which uses high-concentration hydrogen peroxide or carbamide peroxide gels activated by a special light, and at-home bleaching, which uses lower concentrations of the same agents in custom-made trays. Another option is over-the-counter whitening strips or gels, which are easily accessible and more affordable. The choice of method depends on the patient’s needs, the dentist’s recommendation, and the budget. Some clinics also offer advanced technologies like laser whitening or LED light therapy, which can be more expensive but often provide faster results. It’s important to discuss the different methods with your dentist to determine which one is best suited for your specific situation and your goals. Selecting the correct procedure is critical.
Laser Teeth Whitening
Laser teeth whitening is a popular in-office procedure that uses laser technology to accelerate the whitening process. The dentist applies a bleaching agent to the teeth and then uses a laser to activate the gel, speeding up the whitening reaction. This method is known for providing fast and dramatic results, often in a single session. The cost of laser whitening is typically higher than other methods, but the results are often more pronounced and long-lasting. The use of laser technology ensures the treatment is precise, and the results are even. Many patients prefer laser whitening for its convenience and immediate impact. Although the initial cost is higher, the long-term benefits and the efficiency of the procedure make it an attractive option for those seeking a quick and effective solution. This can be a very good option for those seeking a quick solution.
Teeth Whitening Prices Philippines for Laser Treatment

The cost of laser teeth whitening in the Philippines varies depending on the clinic, the dentist’s experience, and the specific laser system used. Prices generally range from the mid-range to higher end of the price spectrum for teeth whitening procedures. Laser treatments tend to be more expensive than other in-office or at-home options due to the advanced technology and specialized equipment involved. Prices may also vary based on the location of the clinic, with clinics in major cities often charging more. Always inquire about the complete cost, including any additional fees for consultation, pre-treatment care, or post-treatment services. Comparing prices from different clinics and considering the clinic’s reputation can help you find a reliable and cost-effective option. It is essential to shop around and determine which laser option works best for you.
Teeth Whitening Prices Philippines for LED Treatment
LED teeth whitening is another in-office procedure gaining popularity in the Philippines. This method uses LED (light-emitting diode) light to activate the whitening gel, which is applied to the teeth. LED treatments are often less expensive than laser whitening but still provide effective results. The cost of LED whitening depends on similar factors as laser treatments, including the clinic’s location, the dentist’s experience, and the specific LED system used. Prices are generally lower than laser treatments, making them a more affordable option for those seeking in-office whitening. Like laser treatments, LED whitening offers quicker results compared to at-home methods. Before deciding, it’s wise to research and compare prices from different clinics and to check reviews to make sure you’re getting a reliable provider.
Maintaining Your White Smile
Maintaining your newly whitened smile involves several important steps. Proper oral hygiene is crucial, including brushing your teeth at least twice a day with a whitening toothpaste and flossing daily. Avoiding or limiting the consumption of stain-causing foods and drinks, such as coffee, tea, red wine, and dark-colored berries, helps prevent discoloration. Regular dental check-ups and cleanings are also important for removing surface stains and maintaining overall oral health. Consider using touch-up treatments at home with whitening strips or trays to keep your smile bright. Avoiding smoking or using tobacco products is essential as they contribute to teeth discoloration. Proper care will help sustain your whiter teeth for a long period. This maintenance is vital.
Post-Whitening Care and Costs

Post-whitening care is essential to maintain the results of your teeth whitening treatment. After a whitening procedure, your teeth may be slightly sensitive. Using a desensitizing toothpaste can help reduce this sensitivity. Avoiding highly pigmented foods and drinks for a few days after the treatment is also recommended to prevent staining. Some dentists provide post-whitening care kits that include a desensitizing toothpaste and instructions for maintaining your white smile. The cost of these kits is usually minimal. Follow-up appointments might also be necessary to assess the results and address any concerns. Proper care ensures that you get the most out of your treatment.
Tips for Saving on Teeth Whitening Prices
Several strategies can help you save on teeth whitening costs in the Philippines. Comparing prices from different clinics is essential, as prices can vary significantly. Look for clinics that offer promotions, discounts, or package deals, especially during certain times of the year. Consider at-home whitening kits, which are generally more affordable than in-office treatments, if you have mild staining. Inquire about payment plans or financing options, as some clinics offer flexible payment terms to make the treatment more accessible. You can also consider clinics in less populated areas, where prices may be lower. Prioritize your oral hygiene by brushing, flossing, and regularly visiting your dentist to avoid more expensive procedures. By being informed and proactive, you can find affordable options without compromising the quality of your results.
Finding Affordable Options
Finding affordable teeth whitening options involves careful research and comparison. Start by searching online for clinics in your area and comparing their prices and services. Check for special offers or promotions, such as discounts for new patients or package deals. Read reviews and testimonials from other patients to assess the quality of service and the clinic’s reputation. Consider at-home whitening kits, which are generally more cost-effective than in-office treatments. You can also consult with multiple dentists to discuss your options and get personalized recommendations. Local dental schools often offer reduced-cost whitening treatments performed by supervised students. Don’t be afraid to ask questions and negotiate prices if possible. By exploring different options and doing your research, you can find a teeth whitening solution that fits your budget. Make sure to investigate all the options.
Comparing Clinics and Prices

Comparing clinics and prices is crucial for making an informed decision about teeth whitening. When comparing, consider the following factors: the type of whitening treatment offered, the dentist’s experience and qualifications, the clinic’s location and reputation, and the specific services included in the price. Ask for a detailed breakdown of the costs, including any additional fees for consultation, pre-treatment care, or post-treatment services. Read online reviews and testimonials from other patients to evaluate the clinic’s quality of service and customer satisfaction. Compare the prices of different clinics for the same type of treatment to ensure you’re getting a fair price. Inquire about payment plans or financing options, if available. By taking the time to compare clinics and prices, you can select a reputable provider and achieve the best results. This will lead to the best decision for you and your smile.
