Teeth Whitening Gilbert AZ Facts Overview
In Gilbert, Arizona, a radiant smile is often a sought-after feature, and teeth whitening has become a popular cosmetic procedure. Understanding the process, the options available, and the associated costs is essential for anyone considering teeth whitening in Gilbert AZ. This article will delve into the top 7 facts you should know, providing you with comprehensive insights to make informed decisions about achieving a brighter, more confident smile. From in-office treatments to at-home kits, and from costs to aftercare, we’ll cover everything you need to know before embarking on your teeth whitening journey. The information presented here aims to guide you through the process, ensuring you have a clear understanding of what to expect and how to achieve the best possible results for your teeth whitening goals in Gilbert AZ.
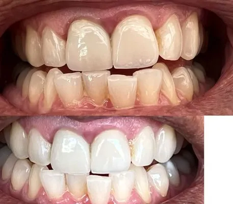
What is Teeth Whitening
Teeth whitening is a cosmetic dental procedure designed to lighten the shade of your teeth, removing stains and discoloration. The process typically involves using bleaching agents, such as hydrogen peroxide or carbamide peroxide, to break down the stains on your enamel. These stains can result from various factors, including the consumption of coffee, tea, wine, and tobacco use, or even the natural aging process. Teeth whitening can significantly improve the appearance of your smile, boosting your self-esteem and overall confidence. There are various methods available, ranging from professional treatments performed by dentists in Gilbert AZ to over-the-counter products designed for at-home use. Regardless of the method, the primary goal remains the same: to provide you with a brighter, whiter smile.
The Benefits of Teeth Whitening

The benefits of teeth whitening extend far beyond just aesthetics; they can have a positive impact on your overall well-being. A brighter smile can boost self-esteem and confidence, leading to improved social interactions and a more positive self-image. Studies have shown that people with whiter teeth are often perceived as more attractive, successful, and approachable. Beyond the psychological benefits, teeth whitening can also motivate you to maintain good oral hygiene habits. Knowing you’ve invested in a brighter smile can encourage you to brush and floss more regularly, leading to healthier teeth and gums. In Gilbert AZ, where a healthy lifestyle is valued, a bright smile can be a significant asset.
Types of Teeth Whitening Procedures
There are several types of teeth whitening procedures available in Gilbert AZ, each with its own advantages and considerations. Understanding these options is crucial for choosing the method that best suits your needs and preferences. The two main categories are in-office and at-home treatments, each designed to deliver a brighter smile, though the methods and level of supervision differ significantly. Choosing the right type of whitening procedure depends on factors such as the severity of the staining, your budget, and your time constraints. It’s important to discuss these options with your dentist in Gilbert AZ to determine which approach is most appropriate for you.
In-Office Teeth Whitening
In-office teeth whitening, also known as professional teeth whitening, is performed by a dentist or a trained dental professional. This method typically involves the application of a high-concentration bleaching agent to the teeth, followed by the use of a special light or laser to accelerate the whitening process. The entire procedure usually takes about an hour to an hour and a half, and you can see significant results in just one session. In-office whitening is generally the most effective way to whiten your teeth, as the dentist can use stronger solutions and ensure the safety of your gums and other soft tissues. Many dental practices in Gilbert AZ offer this service, providing a convenient and reliable way to achieve a dramatically whiter smile.
At-Home Teeth Whitening Kits

At-home teeth whitening kits provide a more convenient and often more affordable option for those looking to brighten their smiles. These kits typically include custom-fitted trays or strips that you fill with a bleaching gel and wear for a specified amount of time each day. The concentration of the bleaching agent in at-home kits is generally lower than in-office treatments, which means it may take longer to see results. However, with consistent use, at-home kits can effectively lighten your teeth by several shades. It is essential to follow the instructions carefully and consult your dentist in Gilbert AZ for guidance. They can assess your oral health and make recommendations to ensure the best and safest results from your chosen whitening kit.
Professional vs. DIY Teeth Whitening
When choosing between professional and DIY teeth whitening options, several factors come into play. Professional treatments, such as those offered by dentists in Gilbert AZ, provide the most immediate and dramatic results. They also offer the advantage of being supervised by a dental professional, minimizing the risk of gum irritation or other complications. DIY kits are generally more affordable and convenient, allowing you to whiten your teeth in the comfort of your own home. However, they may not be as effective for severe staining, and there’s a higher risk of improper use, which can lead to sensitivity or uneven whitening. Consulting your dentist is essential to determine the best method based on your individual needs and oral health.
Cost of Teeth Whitening in Gilbert AZ
The cost of teeth whitening in Gilbert AZ can vary significantly depending on the type of procedure and the provider you choose. In-office treatments are typically more expensive than at-home kits, reflecting the expertise and resources involved. Prices for professional teeth whitening can range from several hundred to over a thousand dollars, depending on the complexity of the treatment and the dentist’s fees. At-home kits, on the other hand, are generally much more budget-friendly, with options available at local pharmacies and online retailers for a few dozen to a few hundred dollars. Comparing prices from different dental practices in Gilbert AZ and considering the long-term value is essential when making your decision.
Factors Affecting Teeth Whitening Cost

Several factors can influence the cost of teeth whitening in Gilbert AZ. The type of whitening procedure is a primary determinant, with in-office treatments usually costing more than at-home options. The experience and reputation of the dentist also play a role; highly experienced dentists may charge more for their services. The extent of the staining and the number of treatments required can also affect the overall cost. Furthermore, the location of the dental practice within Gilbert AZ may influence pricing, with practices in more affluent areas possibly having higher fees. Before committing to any procedure, it’s advisable to get a detailed quote from your dentist, including all potential costs.
Insurance Coverage for Teeth Whitening
In most cases, dental insurance does not cover teeth whitening procedures. Teeth whitening is generally considered a cosmetic procedure and is not deemed medically necessary by insurance providers. However, it’s always a good idea to check with your insurance provider to confirm their specific policy. Some dental insurance plans may offer discounts or partial coverage for cosmetic procedures, so it’s worth exploring your options. Many dental practices in Gilbert AZ offer financing options or payment plans to make teeth whitening more accessible. Discussing your financial options with your dentist is crucial to understand the total cost and potential payment solutions before proceeding with the treatment.
Choosing a Teeth Whitening Provider in Gilbert AZ
Selecting the right teeth whitening provider in Gilbert AZ is a crucial step towards achieving a safe and effective whitening experience. Researching different dentists and dental practices is essential. You can start by reading online reviews and checking the dentist’s credentials and experience. Make sure the dentist is licensed and has a good reputation for providing quality dental care. Consider the dentist’s expertise in cosmetic dentistry, and whether they offer the specific teeth whitening options you are interested in. A consultation with the dentist allows you to discuss your goals, ask questions, and get a personalized assessment. It’s important to feel comfortable and confident in your choice of provider.
Finding a Reputable Dentist

Finding a reputable dentist in Gilbert AZ involves thorough research and careful consideration. Start by asking for recommendations from friends, family, or colleagues who have had positive experiences with teeth whitening. Check online reviews on platforms like Google, Yelp, and Healthgrades to get insights into the dentist’s reputation, patient satisfaction, and the quality of their services. Verify the dentist’s credentials and check for any professional affiliations or certifications related to cosmetic dentistry. Schedule consultations with a few dentists to assess their communication style, the clinic’s environment, and their approach to patient care. Choose a dentist who prioritizes your oral health and offers personalized treatment plans to meet your needs.
What to Expect During Your Visit
During your visit for teeth whitening in Gilbert AZ, you can expect a comprehensive evaluation of your oral health. The dentist will typically examine your teeth and gums to ensure you are a good candidate for the procedure. They may take photos of your teeth to document the initial shade and track the progress of the whitening. If you opt for in-office whitening, the dentist will apply a protective barrier to your gums and lips. Then, a bleaching agent will be applied to your teeth. A special light or laser might be used to accelerate the whitening process. The entire in-office procedure takes approximately one to two hours. If you’re using an at-home kit, your dentist will provide instructions and answer any questions. Following your dentist’s advice will help to ensure safe and effective results.
Aftercare and Maintenance
After undergoing teeth whitening in Gilbert AZ, proper aftercare is essential to maintain your newly brightened smile. Following your dentist’s instructions carefully will help ensure you get the best results and minimize any potential side effects. This often includes avoiding certain foods and drinks that can stain your teeth and maintaining good oral hygiene habits. Regular check-ups and professional cleanings can also help to keep your teeth looking their best. By following these guidelines, you can enjoy a long-lasting, dazzling smile.
Foods and Drinks to Avoid

To maintain the results of your teeth whitening treatment in Gilbert AZ, it’s crucial to avoid foods and drinks that can stain your teeth. These include coffee, tea, red wine, dark-colored sodas, and berries, such as blueberries and strawberries. Tobacco products, such as cigarettes and chewing tobacco, should also be avoided as they can severely discolor your teeth. When consuming these items, consider using a straw to minimize contact with your teeth. After eating or drinking staining substances, rinse your mouth with water or brush your teeth as soon as possible. Being mindful of your diet is one of the most critical steps in preserving your bright, white smile.
Maintaining Your White Smile
Maintaining your white smile requires consistent effort and a commitment to good oral hygiene. Brush your teeth at least twice a day, using a whitening toothpaste to help remove surface stains. Floss daily to remove plaque and food particles from between your teeth. Consider using a mouthwash that helps to prevent stains and freshen your breath. Regular dental check-ups and professional cleanings in Gilbert AZ are essential to remove any stubborn stains and ensure your overall oral health. You might also consider touch-up treatments with an at-home kit or periodic in-office whitening sessions to keep your smile looking its best.
Potential Risks and Side Effects
While teeth whitening is generally safe, there are some potential risks and side effects to be aware of. It’s essential to discuss these potential issues with your dentist in Gilbert AZ before starting any whitening treatment. Understanding the risks allows you to make informed decisions and take necessary precautions to protect your oral health. While these side effects are usually temporary, it is important to be aware of them and how to manage them effectively.
Sensitivity and Irritation

Tooth sensitivity is one of the most common side effects of teeth whitening. Many people experience temporary sensitivity to hot or cold foods and drinks. This sensitivity is typically mild and temporary, usually subsiding within a few days after the treatment. Gum irritation is another potential side effect, which can occur if the bleaching agent comes into contact with the gums. To minimize these risks, it’s crucial to follow your dentist’s instructions carefully and use the whitening products as directed. Using a desensitizing toothpaste before and after whitening can help reduce sensitivity. If sensitivity or irritation persists or becomes severe, consult your dentist immediately.
When to Consult a Dentist
It’s important to consult a dentist in Gilbert AZ if you experience any adverse effects from teeth whitening. If you experience severe tooth sensitivity, gum irritation, or any other unusual symptoms, contact your dentist immediately. They can assess the situation and provide appropriate treatment or recommendations. It’s also essential to consult your dentist before starting any teeth whitening treatment, especially if you have existing dental work, such as fillings, crowns, or veneers. Your dentist can advise you on the best approach to achieve your desired results without compromising your oral health. Regular dental check-ups are a critical part of the process of maintaining a healthy smile and addressing any potential problems.
