Teeth Whitening Cracks Top 5 Causes
Teeth whitening is a popular cosmetic procedure, promising a brighter, more confident smile. However, it’s crucial to understand the potential risks involved, including the appearance of cracks in teeth after whitening. While whitening itself doesn’t directly cause cracks in healthy teeth, it can exacerbate existing issues or contribute to their formation under certain conditions. This article delves into the top 5 causes of cracks after teeth whitening, providing valuable insights to help you maintain optimal oral health while pursuing a radiant smile. Understanding these factors is essential for making informed decisions about your teeth whitening journey and ensuring you receive the best possible care.
The Chemistry Behind Teeth Whitening
To understand how teeth whitening can potentially lead to cracks, it’s essential to grasp the underlying chemical processes. The primary active ingredients in most whitening products are hydrogen peroxide or carbamide peroxide. These compounds penetrate the enamel and dentin of the teeth, breaking down stain molecules through oxidation. This process effectively lightens the color of the teeth, but it can also have effects on the tooth structure, especially if not managed correctly. The intensity and frequency of the treatment play a crucial role in determining the extent of these effects, highlighting the importance of professional guidance and adhering to recommended usage guidelines.
How Whitening Agents Work

Whitening agents work by releasing oxygen radicals that break down the complex stain molecules trapped within the enamel and dentin. These radicals are highly reactive and effectively dismantle the bonds that hold the stains together, leading to a lighter appearance. However, this process isn’t without its potential drawbacks. The same oxidizing action that breaks down stains can also affect the tooth’s mineral structure, making it temporarily more porous and potentially more susceptible to damage. This is why proper application and adherence to professional advice are so important during and after the whitening procedure.
Impact of Whitening on Enamel
The repeated use of whitening agents can, over time, affect the enamel. While enamel is the hardest substance in the human body, it’s still susceptible to the effects of the chemicals used in whitening treatments. Excessive or improper use can lead to enamel erosion, making the teeth more vulnerable to sensitivity and, in some cases, the formation of cracks. Additionally, the temporary demineralization that occurs during whitening can weaken the enamel, increasing the risk of damage. This is why dentists often recommend fluoride treatments to help remineralize the enamel and maintain its strength and integrity after whitening procedures. Understanding the impact on the enamel is a crucial factor in managing the risks associated with teeth whitening.
Cause 1 Overuse of Whitening Products
One of the most common causes of cracks after teeth whitening is the overuse of whitening products. Using whitening strips, gels, or toothpaste more frequently or for longer durations than recommended can significantly increase the risk of enamel damage and crack formation. This is because excessive exposure to the whitening agents can weaken the enamel, making it more prone to micro-cracks. It’s essential to follow the instructions provided with the whitening product and consult with a dentist for personalized guidance on the appropriate frequency and duration of use. Overuse not only increases the risk of cracks but also can lead to increased tooth sensitivity and gum irritation, further emphasizing the importance of moderation.
Recognizing Overuse

Recognizing the signs of overuse is crucial for preventing potential damage to your teeth. Common indicators include increased tooth sensitivity, especially to hot or cold foods and drinks, as well as gum irritation and inflammation. You may also notice a change in the texture or appearance of your teeth. If you experience any of these symptoms, it’s essential to stop using the whitening product immediately and consult with your dentist. They can assess the condition of your teeth and recommend appropriate treatment or alternative whitening methods that pose less risk. Awareness of these symptoms and taking prompt action can help prevent more serious dental issues.
Preventative Measures
Preventative measures are key to mitigating the risks associated with teeth whitening. Always adhere to the instructions provided with the whitening product or, if using professional treatments, follow your dentist’s recommendations. Avoid excessive use and consider using a desensitizing toothpaste to help manage any increased sensitivity. Regular dental check-ups are also essential to monitor your oral health and identify any potential problems early on. Your dentist can also advise on the most suitable whitening method for your specific needs and provide guidance to ensure the process is safe and effective. Practicing proper oral hygiene habits, including brushing and flossing, can help protect your teeth and maintain their overall health, reducing the likelihood of cracks.
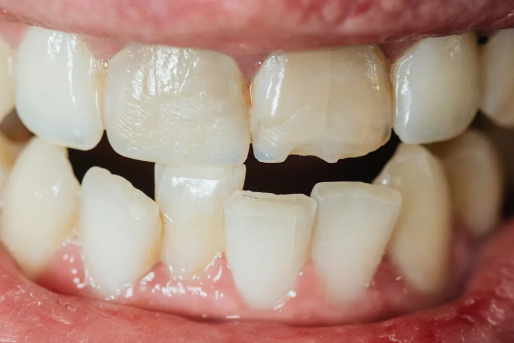
Cause 2 Existing Dental Issues
Teeth whitening can sometimes exacerbate existing dental issues, increasing the risk of cracks. Individuals with pre-existing conditions such as micro-cracks, enamel erosion, or untreated cavities may be more vulnerable to damage during and after whitening. The whitening agents can penetrate these compromised areas, causing further weakening and potentially leading to crack formation. This highlights the importance of a thorough dental examination before undergoing any whitening procedure to identify and address any underlying dental problems. Addressing these issues prior to whitening can help ensure a safer and more successful outcome, minimizing the risk of complications.
Detecting Underlying Problems

Detecting underlying dental problems requires a comprehensive dental examination, including a visual inspection and potentially X-rays. Your dentist will look for signs of enamel erosion, micro-cracks, cavities, and any other pre-existing conditions. These issues may not always be visible to the naked eye, which is why regular dental check-ups are essential. The dentist can also assess the overall health of your teeth and gums, providing a complete picture of your oral health. During the examination, be sure to inform your dentist about any sensitivity or discomfort you’re experiencing, as these symptoms can indicate underlying issues that need to be addressed before whitening.
Treating Pre-existing Cracks
Treating pre-existing cracks is crucial before undergoing teeth whitening. Depending on the severity and location of the cracks, the treatment options can vary. Small cracks may simply be monitored by your dentist, while larger cracks may require fillings, crowns, or other restorative procedures. If the cracks are extensive, your dentist may recommend delaying or avoiding teeth whitening altogether. The goal is to address the underlying issues and strengthen the teeth before proceeding with any cosmetic treatments. Following your dentist’s recommendations will help minimize the risk of complications and ensure a successful outcome.
Cause 3 Type of Whitening Treatment
The type of teeth whitening treatment can also influence the risk of cracks. In-office whitening procedures typically use higher concentrations of whitening agents, which can potentially lead to a greater risk of enamel damage if not performed and monitored by a dental professional. At-home kits, on the other hand, often contain lower concentrations of the active ingredients, but the overall risk depends on the product and the individual’s usage habits. The method you choose should be discussed with your dentist, considering your specific dental health and any pre-existing conditions. Each method comes with its own set of benefits and risks; understanding these is crucial to making an informed decision.
In-Office Whitening vs. At-Home Kits

In-office whitening offers the advantage of professional supervision, allowing dentists to monitor the process and adjust the treatment as needed. This can reduce the risk of overuse and ensure the safety of the procedure. The treatments are usually faster, delivering results in a single session. At-home kits provide greater flexibility and convenience, allowing you to whiten your teeth at your own pace. However, they require careful adherence to the instructions and may not be suitable for everyone. The best option for you depends on your personal preferences, your dentist’s recommendations, and the current condition of your teeth and overall health.
Comparing Potential Risks
Comparing the potential risks associated with in-office and at-home whitening is essential for making an informed choice. In-office whitening might pose a higher risk of sensitivity due to the stronger whitening agents used, but this can be mitigated by the dentist’s control over the treatment. At-home kits, if used improperly, can also lead to sensitivity and other complications. Carefully evaluate the pros and cons of each method, considering your individual needs and the advice of your dentist. Ultimately, the safest method is the one that aligns with your oral health needs and ensures professional guidance.
Cause 4 Dietary and Lifestyle Factors
Dietary and lifestyle factors play a significant role in the health and integrity of your teeth. Certain foods and drinks can erode enamel or contribute to the formation of cracks, especially when combined with teeth whitening. Habits like smoking or excessive alcohol consumption can also weaken the enamel and increase the risk of dental damage. By being mindful of your dietary and lifestyle choices, you can significantly reduce the risk of cracks and maintain a healthy, bright smile. This proactive approach is vital in preserving the results of teeth whitening and protecting your overall oral health.
Foods and Drinks to Avoid

Certain foods and drinks are known to stain teeth and contribute to enamel erosion. Highly acidic foods and drinks, such as citrus fruits, vinegar, and carbonated beverages, can weaken the enamel, making teeth more vulnerable to damage. Dark-colored beverages, like coffee, tea, and red wine, can also stain the teeth, potentially masking or exacerbating cracks. Limiting your consumption of these items, especially during and immediately after teeth whitening, can help protect your teeth and maintain their brightness. It’s also important to rinse your mouth with water after consuming these items to minimize their impact on your enamel.
Lifestyle Habits That Matter
Certain lifestyle habits can impact your oral health and increase the risk of cracks. Smoking, for example, not only stains teeth but also weakens the enamel and reduces blood flow to the gums, which can impair healing and increase the risk of dental problems. Excessive alcohol consumption can also erode the enamel and contribute to dehydration, affecting saliva production, which is essential for maintaining oral health. Regular dental check-ups, a balanced diet, and a healthy lifestyle are essential for overall dental well-being.
Cause 5 Improper Technique
Improper technique in teeth whitening can also contribute to crack formation. This encompasses various aspects, including incorrect application of whitening agents, using products that are not suitable for your specific needs, or failing to follow the instructions provided. When the whitening agent is not applied correctly, it can lead to uneven whitening, increased sensitivity, and potential damage to the enamel. Moreover, using products that are too strong or that are not designed for your specific tooth sensitivity can cause undue stress on the tooth structure, increasing the risk of cracks. Ensuring proper technique and understanding the appropriate usage of these products are therefore crucial.
Avoiding Application Errors

To avoid application errors, always read and follow the instructions provided with the whitening product. Ensure that you apply the whitening agent evenly to all surfaces of your teeth, avoiding contact with your gums. If using whitening trays, make sure they fit properly to prevent the agent from leaking onto your gums. If you’re unsure about any aspect of the application process, consult your dentist for guidance. They can demonstrate the correct technique and provide personalized advice based on your dental health and the specific product you’re using.
Best Practices for Whitening
Best practices for teeth whitening involve a combination of proper technique, choosing the right product, and maintaining good oral hygiene. Start by consulting with your dentist to determine the most suitable whitening method for your individual needs. Follow all instructions carefully and avoid overuse. After whitening, maintain a good oral hygiene routine by brushing twice a day with a fluoride toothpaste and flossing daily. Regular dental check-ups are also essential for monitoring your oral health and addressing any potential issues promptly. By following these practices, you can achieve a brighter smile while minimizing the risk of cracks and other complications.
Conclusion
While teeth whitening can significantly enhance your smile, it’s crucial to be aware of the potential risks involved, particularly the formation of cracks in teeth. Understanding the top 5 causes – overuse, existing dental issues, the type of treatment, dietary and lifestyle factors, and improper technique – is essential for making informed decisions about your teeth whitening journey. By consulting with your dentist, following recommended guidelines, and maintaining good oral hygiene, you can minimize the risks and achieve a radiant, healthy smile. Remember, a beautiful smile should always go hand in hand with good oral health.
