What is Teeth Whitening Concord Mills Mall?
Teeth whitening at Concord Mills Mall offers various methods to brighten your smile. It’s a popular cosmetic dental procedure designed to reduce discoloration and stains on teeth. Discoloration can result from factors such as aging, consumption of staining foods and drinks (coffee, tea, red wine), and smoking. The goal of teeth whitening is to enhance the aesthetic appearance of your teeth, boosting your confidence. The process usually involves bleaching the teeth to lighten the shade, making them appear whiter and brighter. Several options are available at or near Concord Mills Mall, including professional treatments and over-the-counter products, allowing you to choose a method that best suits your needs and budget. These options provide accessible solutions for those seeking a quick and effective way to improve their smile.
Popular Teeth Whitening Methods
Several teeth whitening methods are popular among individuals looking to enhance their smiles. The most common methods include in-office whitening, professional take-home kits, and over-the-counter products. In-office whitening, often available at dental clinics near Concord Mills Mall, provides immediate results through the use of high-concentration bleaching agents and specialized equipment. These treatments are performed under the supervision of a dental professional, ensuring safety and effectiveness. Professional take-home kits, also prescribed by dentists, offer a more gradual approach. These kits include custom-fitted trays and a lower-concentration bleaching gel, allowing you to whiten your teeth at home. Over-the-counter options, such as whitening strips, toothpastes, and gels, are readily available at drugstores and retail outlets near Concord Mills Mall. These products are generally less expensive and provide a convenient way to whiten teeth, although results may vary depending on the product and the degree of discoloration.
In-Office Whitening at Concord Mills Mall

In-office whitening treatments at dental clinics near Concord Mills Mall offer a fast and effective way to brighten your smile. This procedure involves the application of a powerful bleaching agent to the teeth, often combined with a special light or laser to accelerate the whitening process. The entire process is typically completed in a single visit, making it a convenient option for those seeking immediate results. Before the procedure, a dental professional will assess your oral health and determine if you are a suitable candidate for teeth whitening. The gums are protected, and the bleaching agent is applied to the teeth, usually for several short sessions. The results of in-office whitening are noticeable immediately, often providing several shades of improvement. However, some individuals may experience temporary sensitivity after the treatment. The cost of in-office whitening is usually higher than other options, but the immediate and dramatic results make it a popular choice for many.
Professional Take-Home Kits
Professional take-home whitening kits, provided by dentists near Concord Mills Mall, offer a more controlled and personalized approach to teeth whitening. These kits include custom-fitted trays designed to perfectly fit your teeth, ensuring that the bleaching agent comes into contact with the entire surface of each tooth. The dentist will prescribe a bleaching gel with a lower concentration of hydrogen peroxide than that used in in-office treatments. You’ll wear the trays for a specified amount of time each day or night, as directed by your dentist, typically for a few weeks. This method allows you to whiten your teeth in the comfort of your home at your convenience. The results are gradual but often quite effective, providing significant improvement over time. Regular dental check-ups are essential throughout the process to monitor progress and address any potential issues. The cost of professional take-home kits is generally lower than in-office whitening, making it a more affordable option while still providing professional-grade results.
Over-the-Counter Options
Over-the-counter (OTC) teeth whitening products are widely available at drugstores and retail outlets near Concord Mills Mall, offering convenient and accessible solutions for teeth whitening. These products typically include whitening strips, toothpastes, and gels. Whitening strips are thin, flexible strips coated with a bleaching agent that are applied directly to the teeth. Whitening toothpastes contain mild abrasives and chemicals that help remove surface stains. Whitening gels are applied to the teeth with a brush or tray. While OTC products are generally less expensive and readily available, the results may vary. The concentration of the bleaching agents is usually lower than that used in professional treatments, so the whitening effect may be less dramatic or take longer to achieve. It’s essential to follow the product instructions carefully and to be aware of potential side effects, such as tooth sensitivity or gum irritation. Consulting with a dentist is recommended before using any OTC whitening product to ensure it is appropriate for your oral health.
Cost of Teeth Whitening

The cost of teeth whitening near Concord Mills Mall varies depending on the method chosen. In-office whitening, which provides immediate results, typically costs more than other options. The price reflects the professional services, specialized equipment, and high-concentration bleaching agents used. Professional take-home kits are generally less expensive than in-office treatments, offering a more budget-friendly approach while still providing effective results. Over-the-counter products are the most affordable option, but the cost can vary depending on the brand and the type of product. Whitening strips and toothpastes are usually less expensive than whitening gels. It’s important to consider the long-term cost and the potential need for touch-up treatments when evaluating the overall expense of teeth whitening. Consulting with a dentist can provide a more accurate estimate of the cost based on your specific needs and the chosen method. Always factor in the potential risks and benefits of each method to determine the most cost-effective solution for achieving your desired results.
Factors Affecting Cost
Several factors influence the cost of teeth whitening near Concord Mills Mall. The type of whitening procedure is a significant determinant. In-office whitening tends to be more expensive due to the professional expertise and advanced technology involved. Professional take-home kits have a moderate cost, whereas over-the-counter products are generally the most affordable. The location of the dental practice or retailer can also affect the price. Dental practices in areas with higher overhead costs may charge more for their services. The experience and qualifications of the dental professional can influence the cost, with specialists often charging higher fees. The extent of the whitening needed will also be considered. If you have significant staining, you may require multiple treatments, increasing the overall cost. Finally, any additional services required, such as dental exams or cleanings, can contribute to the total expense. Comparing prices from different providers and considering the long-term value and results of each option is essential.
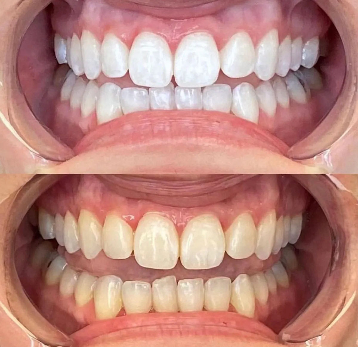
Teeth Whitening Results
The results of teeth whitening near Concord Mills Mall vary depending on the method used, the severity of the staining, and individual factors. In-office whitening typically provides the most immediate and dramatic results, with teeth often becoming several shades whiter in a single session. Professional take-home kits offer gradual but significant improvement over a few weeks, providing noticeable changes. Over-the-counter products may deliver more subtle results, and it can take longer to achieve the desired level of whitening. The longevity of the results also varies. In-office whitening can last for several months to a few years, while professional take-home kits and over-the-counter products may require more frequent touch-up treatments. Factors such as diet, oral hygiene habits, and lifestyle choices, like smoking, can affect how long the whitening results last. Following the dentist’s instructions and maintaining good oral hygiene practices are crucial for maximizing the longevity of the results. Regular dental check-ups and cleanings can also help maintain your bright smile.
What to Expect

When undergoing teeth whitening near Concord Mills Mall, you can expect a consultation with a dental professional to assess your oral health and determine the best whitening method. For in-office treatments, the dentist will protect your gums and apply a bleaching agent to your teeth, often using a special light or laser to enhance the process. You may experience temporary sensitivity during or after the procedure. With professional take-home kits, you’ll receive custom-fitted trays and instructions on how to apply the bleaching gel. This involves wearing the trays for a specified amount of time each day or night, usually for a few weeks. Over-the-counter products require you to follow the product instructions carefully. You may experience some mild sensitivity or gum irritation with any whitening method. It’s essential to follow post-whitening care instructions, such as avoiding staining foods and drinks. Regular dental check-ups and proper oral hygiene practices are essential for maintaining a bright smile.
Maintenance and Aftercare
Maintaining and caring for your teeth after whitening is crucial for preserving your bright smile. Following the dentist’s or product instructions for aftercare is vital. This typically involves avoiding foods and drinks that can stain your teeth, such as coffee, tea, red wine, and dark-colored sauces, for a period after the whitening treatment. Brushing and flossing regularly are essential for removing plaque and preventing stains. Using a whitening toothpaste can also help maintain the brightness of your teeth. Regular dental check-ups and cleanings are crucial for professional maintenance, with the dentist removing any surface stains and assessing the overall health of your teeth. If you smoke, quitting or reducing your tobacco use will help prevent discoloration. Consider touch-up treatments as needed to maintain the desired level of whiteness. By following these aftercare tips, you can extend the lifespan of your teeth whitening results and keep your smile looking its best.
Tips for Maintaining Bright Teeth
Several tips can help you maintain the brightness of your teeth after a whitening treatment. Practicing good oral hygiene is essential, including brushing your teeth at least twice a day and flossing daily. Consider using a whitening toothpaste, which can help remove surface stains. Limit your consumption of staining foods and drinks, such as coffee, tea, red wine, and dark-colored sauces. If you consume these items, rinse your mouth with water immediately afterward. Avoid smoking and other tobacco products, as they can significantly stain your teeth. Schedule regular dental check-ups and professional cleanings to remove plaque and surface stains. Consider using a straw for beverages that can stain your teeth, as this minimizes their contact with your teeth. Follow the dentist’s recommendations for touch-up treatments to maintain your desired level of whiteness. By incorporating these tips into your daily routine, you can preserve the results of your teeth whitening treatment and enjoy a brighter, more confident smile.
Finding the Right Provider

Choosing the right provider for teeth whitening near Concord Mills Mall is essential to ensure the best results and a positive experience. Start by researching local dental practices and reading reviews from other patients. Look for dentists with experience in cosmetic dentistry and teeth whitening procedures. Consider the dentist’s qualifications, credentials, and professional affiliations. Schedule consultations with potential providers to discuss your goals, assess your oral health, and learn about the available treatment options. Inquire about the cost of treatments and any payment plans offered. Ensure the dental practice uses modern equipment and adheres to strict sterilization protocols. Ask about the dentist’s experience with different whitening methods and their recommendations based on your specific needs. Consider the location and convenience of the dental practice, ensuring it is easily accessible from Concord Mills Mall. Trust your instincts and choose a provider with whom you feel comfortable and confident. A good provider will prioritize your oral health and provide you with a beautiful, healthy smile.
Choosing a Reputable Dentist
Selecting a reputable dentist for teeth whitening near Concord Mills Mall involves several important considerations. Look for a dentist who is licensed and has a good reputation within the community. Check online reviews and testimonials to gauge the experiences of other patients. Verify the dentist’s credentials, including their education, training, and any specializations in cosmetic dentistry. Ensure the dental practice is modern, well-equipped, and maintains high standards of hygiene and sterilization. During your consultation, pay attention to the dentist’s communication style, their ability to explain procedures clearly, and their willingness to answer your questions thoroughly. A reputable dentist will prioritize your oral health and provide personalized treatment plans tailored to your needs and goals. Consider the dentist’s approach to patient care, ensuring they make you feel comfortable and informed throughout the process. Choosing a reputable dentist is crucial for achieving safe, effective, and long-lasting teeth whitening results. A healthy, beautiful smile is within reach with the right professional.
