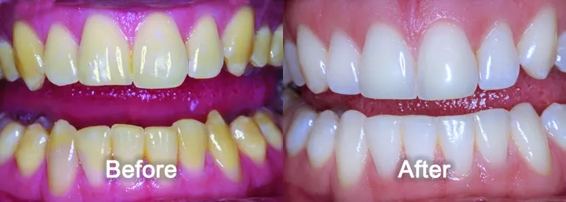
What is Teeth Whitening?
Teeth whitening, also known as teeth bleaching, is a popular cosmetic dental procedure designed to lighten the color of your teeth and remove stains or discoloration. The process involves using whitening products to break down stains and improve the overall appearance of your smile. It’s a non-invasive and effective way to boost your confidence and achieve a brighter, more youthful look. In Greensborough, numerous dental clinics offer various teeth whitening options tailored to individual needs and preferences. Understanding the basics of teeth whitening is the first step towards achieving a dazzling smile and making informed decisions about your dental health. Professional teeth whitening often uses stronger bleaching agents than over-the-counter products, leading to more dramatic and quicker results.
Types of Teeth Whitening Treatments in Greensborough
In Greensborough, you have several options for teeth whitening, ranging from professional in-office treatments to at-home kits and over-the-counter products. Each method offers varying degrees of effectiveness, convenience, and cost. Choosing the right option depends on your budget, the severity of the stains, and your desired results. Consulting with a dentist in Greensborough is essential to determine the most suitable treatment plan for your specific needs and ensure optimal oral health. The types of treatments available vary, allowing individuals to choose the option that best suits their lifestyle and preferences while still achieving a brighter and more confident smile. Considering factors like sensitivity and time commitment is essential.
In-Office Teeth Whitening

In-office teeth whitening is a professional treatment performed by a dentist in Greensborough. This method provides the most immediate and dramatic results. The procedure typically involves applying a high-concentration bleaching agent to the teeth, which is then activated by a special light or laser. This process can often whiten teeth several shades in a single session, making it a popular choice for those seeking rapid results. Professional supervision ensures safety and minimizes the risk of side effects. In-office treatments are ideal for those who want a significant improvement in the shortest amount of time and are willing to invest in a premium service.
How In-Office Whitening Works
The in-office whitening process begins with a thorough cleaning of the teeth to remove any plaque or debris. A protective barrier is then applied to the gums to prevent irritation from the bleaching agent. The dentist then applies a high-concentration hydrogen peroxide or carbamide peroxide gel to the teeth. A special light or laser is used to activate the bleaching agent, accelerating the whitening process. The gel is typically left on the teeth for a set amount of time, and the process may be repeated several times during the same appointment. After the treatment, the dentist will provide instructions on how to maintain the results. Regular check-ups are recommended to monitor and maintain the whitening effect achieved through in-office treatments.
Benefits of In-Office Whitening
The primary benefit of in-office whitening is the speed and effectiveness of the results. It can dramatically whiten teeth in a single session. The treatment is performed by a dental professional, ensuring safety and minimizing risks. Dentists can also address any underlying dental issues that might affect the whitening process. In-office whitening provides a controlled environment, ensuring optimal results and minimal side effects. This method is ideal for those who want a quick and effective solution for a brighter, more confident smile. Professional supervision also helps ensure long-lasting results.
At-Home Teeth Whitening Kits

At-home teeth whitening kits are a convenient and more affordable option for teeth whitening. These kits typically include custom-fitted trays and a bleaching gel. These trays are made by your dentist. The dentist will take a mold of your teeth. They are custom-fitted to ensure even distribution of the whitening agent. At-home kits offer a flexible approach, allowing you to whiten your teeth at your convenience. However, it’s essential to follow the instructions carefully and consult with your dentist to ensure safety and effectiveness. At-home kits are a popular option for those who prefer a less intensive method and are comfortable with a gradual whitening process.
How At-Home Kits Work
The process of using at-home kits involves filling the custom trays with the bleaching gel and wearing them for a specified amount of time each day, typically for a few hours or overnight, as recommended by your dentist. The trays should fit snugly to prevent the gel from leaking. You’ll continue this process for several days or weeks, depending on the desired results. The gel contains a lower concentration of bleaching agents than those used in-office, making it gentler on the teeth. Regular monitoring by a dentist is recommended to ensure the treatment is safe and effective. Following instructions is crucial for achieving optimal results and avoiding any potential complications.
Pros and Cons of At-Home Kits
Pros of at-home kits include convenience, affordability, and the ability to whiten teeth in the comfort of your own home. They are less expensive than in-office treatments and offer a gradual whitening process, allowing you to control the results. Cons include the time commitment required, the potential for uneven whitening if trays don’t fit properly, and the possibility of tooth sensitivity. Results may also take longer to achieve compared to in-office treatments. It is important to consult with a dentist before using any at-home whitening kit to ensure it is suitable for your specific needs and oral health. They can guide the proper use of the kit.
Over-the-Counter Whitening Products

Over-the-counter (OTC) whitening products are readily available at pharmacies and supermarkets. These include whitening toothpaste, strips, and mouthwashes. While convenient and inexpensive, they generally contain lower concentrations of bleaching agents. The results from OTC products are often less dramatic and slower compared to professional treatments or at-home kits prescribed by a dentist. These products are suitable for mild staining. Users should always follow the manufacturer’s instructions carefully. Consulting with a dentist is still recommended to ensure these products are safe and effective for your specific needs. The effectiveness varies depending on the product and the individual’s oral health condition. They are suitable for maintaining teeth whiteness between professional treatments or for minor discoloration.
Factors to Consider When Choosing a Whitening Method
When choosing a teeth whitening method in Greensborough, several factors should be considered. The severity of the stains and discoloration is an important factor, as more severe stains may require stronger treatments. Your budget will influence your choice, as in-office treatments are typically more expensive. Your desired results and the time frame you want to achieve them should also be considered. Sensitivity levels and any existing dental work, such as fillings or crowns, should also be taken into account. It’s essential to consult with a dentist in Greensborough to discuss your options and determine the most suitable treatment plan based on your unique needs and circumstances. Consulting with your dentist helps to make the best decision.
Cost of Teeth Whitening in Greensborough
The cost of teeth whitening in Greensborough varies depending on the chosen method. In-office treatments are generally the most expensive, while at-home kits and over-the-counter products are more affordable. The price of in-office whitening often reflects the expertise and technology used. The overall cost can also be affected by the number of sessions needed and the specific products used. It is best to inquire with dental clinics in Greensborough for their pricing details. Consider the value and effectiveness when evaluating costs. You should inquire about payment plans and potential insurance coverage when budgeting for teeth whitening. Understanding the cost breakdown helps to plan the budget.
Dental Health and Teeth Whitening

Before undergoing any teeth whitening procedure, it is essential to ensure your overall dental health is in good condition. Any existing dental issues, such as cavities, gum disease, or sensitive teeth, should be addressed. Whitening treatments are not suitable for everyone, particularly those with severe dental problems. Consulting with your dentist in Greensborough will assess your oral health and advise if teeth whitening is safe and effective. Regular dental check-ups and cleanings are recommended to maintain the results and ensure optimal oral health. A healthy mouth is essential for effective and safe teeth whitening.
Maintaining Your White Smile
Maintaining a white smile requires consistent care and attention. After undergoing teeth whitening, it’s crucial to avoid foods and beverages that can stain your teeth, such as coffee, tea, red wine, and dark-colored berries. Practicing good oral hygiene, including brushing twice a day and flossing daily, is essential. Regular dental check-ups and professional cleanings help maintain your results and address any new stains. Using a whitening toothpaste and mouthwash can also help to extend the effects of your whitening treatment. Regular visits to your Greensborough dentist and proper home care are key for long-lasting results.
Tips for a Brighter Smile
Here are some additional tips for a brighter smile. Limit your consumption of stain-causing foods and drinks, or rinse your mouth with water after consuming them. Use a straw to minimize contact with teeth when drinking stain-causing beverages. Quit smoking or using tobacco products, as they can severely stain teeth. Incorporate teeth-whitening toothpaste and mouthwash into your daily routine. Consider using a whitening pen for touch-ups between treatments. Regular dental check-ups and professional cleanings are crucial for maintaining a healthy and bright smile. A consistent oral care routine is key to achieving and maintaining a beautiful smile. Consult your dentist regularly for advice.
