A chemical burn on the lip, often resulting from teeth whitening procedures, can be a painful and distressing experience. It’s essential to understand what causes these burns, how to identify them, and, most importantly, how to treat them effectively. This guide aims to provide you with comprehensive knowledge about chemical burns on the lip, helping you navigate the situation with confidence and ensure proper care. From recognizing the initial symptoms to understanding long-term considerations, this information will empower you to take immediate action and seek the appropriate medical attention when needed.
What is a Chemical Burn on Lip?
A chemical burn on the lip is tissue damage caused by contact with a corrosive substance. In the context of teeth whitening, this often occurs due to the use of strong bleaching agents, primarily hydrogen peroxide or carbamide peroxide. When these chemicals come into contact with the delicate skin of the lips, they can cause irritation, inflammation, and, in severe cases, blistering or ulceration. The severity of the burn depends on the concentration of the chemical, the duration of exposure, and individual sensitivity. Understanding the nature of this injury is the first step toward effective treatment and prevention. It’s crucial to recognize that any chemical burn requires immediate attention to minimize damage and promote healing.
Causes of Chemical Burns from Teeth Whitening
The primary cause of chemical burns on the lip related to teeth whitening is the misuse or accidental contact of whitening agents. These agents, typically containing hydrogen peroxide or carbamide peroxide, are designed to be applied to the teeth, not the surrounding soft tissues. Several factors can contribute to this problem. Inadequate protection during the procedure, such as ill-fitting trays or improper application techniques, can allow the chemicals to leak and come into contact with the lips and gums. Additionally, using products with excessive concentrations of the bleaching agent can increase the risk of burns. Another factor is the individual’s sensitivity; some people have more sensitive skin and are therefore more prone to adverse reactions. Finally, improper handling of over-the-counter whitening products or those used at home can also lead to burns if instructions are not followed correctly.
The Whitening Agents and Their Risks

Hydrogen peroxide and carbamide peroxide are the active ingredients in most teeth whitening products. Hydrogen peroxide is a strong oxidizing agent, and carbamide peroxide breaks down into hydrogen peroxide. While effective at bleaching teeth, these chemicals can also be harsh. High concentrations of hydrogen peroxide can cause significant tissue damage upon contact. The risks associated with these agents include chemical burns, gum irritation, and tooth sensitivity. Professional dental whitening procedures often use higher concentrations of these agents than over-the-counter products, which is why proper application and protective measures are crucial. The concentration of the active ingredient is a critical factor in determining the potential for harm. Over-the-counter products typically have lower concentrations and thus pose a lesser risk if used as directed, while professional treatments require strict adherence to safety protocols.
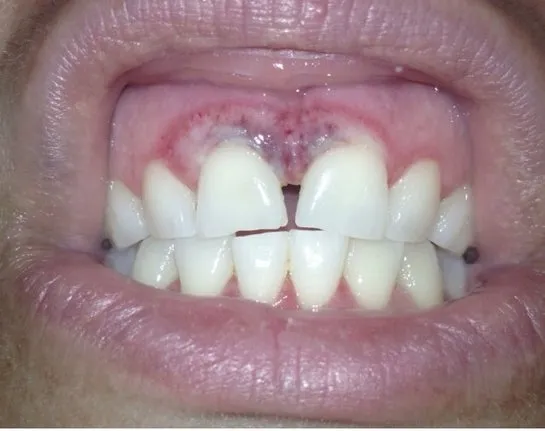
Signs and Symptoms of a Chemical Burn on Lip
Recognizing the signs and symptoms of a chemical burn on the lip is crucial for prompt treatment. The symptoms can vary in severity, depending on the intensity and duration of exposure to the chemical. Common symptoms include immediate stinging or burning sensation, redness, and swelling. The lip may appear inflamed and tender to the touch. Blisters or ulcers may develop in more severe cases. The affected area can also feel itchy or painful. Other signs to watch for are changes in skin texture, such as peeling or crusting. If the burn is severe, it might be accompanied by systemic symptoms, such as fever or chills. It’s important to note that these symptoms can appear quickly, often within minutes to hours of exposure. Any unusual sensations or visual changes after a teeth whitening treatment should be addressed immediately.
Immediate Actions to Take
When a chemical burn on the lip occurs, rapid response is critical. The immediate steps taken can significantly influence the outcome and healing process. Prioritizing these immediate actions can minimize the damage and relieve discomfort. It’s crucial to act quickly and calmly to prevent further harm. The first step is to remove the offending chemical from the lip and surrounding area, which can be achieved by rinsing the affected area thoroughly with water. Following the rinsing, apply a cold compress to reduce pain and swelling. After the initial steps, seeking medical advice is essential to ensure appropriate care and prevent complications. Delaying treatment can worsen the burn and impede the healing process. Keep in mind, even seemingly minor burns warrant a thorough evaluation by a medical professional.
Rinse the Affected Area

The first and most crucial step in treating a chemical burn on the lip is to rinse the affected area immediately and thoroughly. Use cool or lukewarm water to flush away any remaining chemical residue. Continue rinsing for at least 15-20 minutes to ensure the chemical is completely removed from the skin. Avoid using hot water, as it can exacerbate the burn and worsen tissue damage. Be gentle while rinsing to prevent causing additional irritation to the already sensitive skin. If available, you can use a gentle stream of water from a tap or shower. Make sure the water is clean and free from any contaminants. Proper rinsing helps to neutralize the chemical action and minimize the depth of the burn, which is essential for starting the healing process.
Apply a Cold Compress
Following the rinsing of the affected area, applying a cold compress is an important step to reduce pain, swelling, and inflammation. Use a clean cloth dampened with cool water and gently apply it to the burned lip. Avoid using ice directly on the skin, as this can cause further damage. A cold compress can be applied for 10-15 minutes at a time, several times a day, to provide relief and promote healing. If available, consider using a cool pack wrapped in a cloth to keep the area comfortable. This will help soothe the burn and reduce the inflammatory response, making the discomfort manageable. Continue to monitor the lip for any signs of worsening, and adjust the treatment accordingly. The cooling effect helps to constrict blood vessels, reducing swelling and pain.
Seek Professional Medical Advice
It is important to seek professional medical advice after experiencing a chemical burn on the lip. A healthcare provider, such as a dentist or doctor, can assess the severity of the burn and recommend the appropriate treatment plan. They can evaluate the extent of the damage and provide guidance on how to care for the affected area. Depending on the severity of the burn, they may prescribe topical medications, such as antibiotic ointments or corticosteroids, to reduce inflammation and promote healing. The medical professional can also monitor for potential complications, such as infection, and provide instructions for follow-up care. Seeking professional advice ensures that the burn is properly managed, reducing the risk of long-term complications and promoting a quicker recovery. Do not hesitate to contact a medical professional, even if the burn seems minor, as timely intervention can make a significant difference in the healing process.
Top 5 Things to Know for Treatment and Recovery

Effective treatment and recovery from a chemical burn on the lip involve a combination of immediate actions, consistent care, and understanding of the healing process. To promote healing and minimize complications, adhere to the following points. It’s important to take the proper steps and take care to ensure a full recovery. This will assist in the recovery process and avoid future issues. Gentle cleaning and care of the affected area, appropriate use of medications, avoiding irritants, maintaining proper nutrition, and knowing the importance of follow-up care are all critical elements to a successful recovery.
Gentle Cleaning and Care
Gentle cleaning and care are essential for the proper healing of a chemical burn on the lip. The affected area should be cleaned gently with mild soap and water. Avoid harsh rubbing or scrubbing, as this can further irritate the damaged skin. Pat the area dry gently with a soft towel. Avoid using any products that contain alcohol, fragrances, or other irritants, as these can impede the healing process. Applying a thin layer of a soothing ointment, such as petroleum jelly, can help to keep the area moisturized and prevent it from drying out. It is important to change the dressing regularly if one is used and to keep the area clean and dry. This basic care is crucial in preventing infection and fostering optimal healing of the delicate lip tissue. Be consistent with your cleaning to allow the burn to recover properly.
Medications and Creams
Depending on the severity of the chemical burn, your healthcare provider may prescribe medications or recommend over-the-counter creams to aid in the healing process. Topical antibiotics may be prescribed to prevent infection, particularly if there are open blisters or sores. Corticosteroid creams can help reduce inflammation and swelling. Pain relievers, such as ibuprofen or acetaminophen, can be used to manage any discomfort. Your healthcare provider will provide specific instructions on how to use these medications and creams, including the frequency of application and the duration of use. Always follow the instructions carefully to ensure the medication works correctly and does not cause any adverse effects. If you experience any side effects, contact your healthcare provider immediately for guidance.
Avoiding Irritants

Avoiding irritants is vital to prevent further damage and promote healing of a chemical burn on the lip. This includes avoiding products that can cause irritation or dryness, such as harsh soaps, cosmetics, and lip products with strong fragrances or flavors. Stay away from spicy, acidic, or salty foods that can aggravate the burn. Also, protect your lips from direct sunlight, as the sun can worsen the damage. Avoid picking at any blisters or peeling skin, as this can increase the risk of infection and slow down the healing process. It is crucial to pay attention to your body’s signals and avoid activities that may irritate the area, such as excessive talking or lip movements. Being gentle and avoiding irritants allows the lip to heal properly.
Nutrition and Hydration
Proper nutrition and hydration are essential for overall health and recovery from a chemical burn on the lip. Eat a balanced diet rich in vitamins, minerals, and antioxidants to support the body’s healing processes. Consume plenty of fruits, vegetables, and lean proteins. Staying well-hydrated by drinking an adequate amount of water is important. Water helps maintain skin moisture and promotes healing. Consider incorporating foods that promote healing, such as those rich in vitamin C and zinc, which are critical in the repair of skin tissues. Avoid consuming alcohol and sugary drinks, as these can slow down healing and cause inflammation. A healthy diet and proper hydration supply the body with the necessary resources for the healing process.
Follow-Up Care and Long-Term Considerations
Follow-up care and long-term considerations are essential to ensure complete healing and address any potential complications after a chemical burn on the lip. Follow your healthcare provider’s instructions carefully, attend all scheduled follow-up appointments, and report any unusual symptoms or changes. Monitor the area for any signs of infection, such as increased redness, swelling, pus, or fever. Protect the lip from sunlight by using a lip balm with SPF. Be aware that some scars or pigmentation changes may occur, especially with more severe burns. If scarring develops, your healthcare provider may recommend scar treatment options. Always seek professional advice and follow their recommendations to ensure optimal healing, prevent complications, and achieve the best long-term results. Consistent follow-up is important for the full recovery of your lips.
Preventing Chemical Burns in the Future

Preventing chemical burns on the lip from teeth whitening involves taking proactive steps to minimize risk and ensure the procedure is performed safely. Choose a reputable dentist or a qualified professional for teeth whitening treatments. They should have the expertise and experience to perform the procedure safely. Always discuss your medical history and any sensitivities with the dentist before any whitening treatments. Properly fitting custom trays are critical to prevent the whitening agent from contacting the lip tissue. During the procedure, proper application techniques are essential. The professional should apply the whitening agent precisely to the teeth, avoiding contact with the gums and lips. Follow all aftercare instructions provided by your dentist carefully. If using over-the-counter products, always read and follow the instructions on the label and be mindful of product concentrations. Regular dental check-ups and cleanings can help maintain healthy teeth and reduce the need for frequent whitening treatments. If you experience any discomfort or irritation during or after the whitening process, immediately contact your dentist.
Choosing Safe Teeth Whitening Options
When selecting teeth whitening options, prioritize safety by carefully considering various factors. Research the qualifications and experience of the dental professional who will be performing the treatment. Ensure they follow established safety protocols. If you choose an over-the-counter product, opt for those that are approved by dental health organizations, indicating they meet certain safety standards. Understand the concentration of the active ingredient and the potential risks associated with it. Consider alternative whitening methods, such as professional-strength whitening treatments administered by a dentist. Discuss your options and any potential risks with your dentist before making any decisions. Regular dental check-ups and professional cleanings can also help to maintain the natural whiteness of your teeth. Taking the time to explore different options allows you to select teeth whitening methods that prioritize your health and well-being. Always consult your dentist to explore a safe method of teeth whitening.
In conclusion, a chemical burn on the lip from teeth whitening can be a challenging experience. Understanding the causes, recognizing the symptoms, and taking immediate action are crucial steps in effective treatment and recovery. This guide offers a detailed overview of the condition, providing knowledge and strategies to handle the situation and, more importantly, how to prevent it. Always consult with a healthcare professional for personalized advice and treatment, and remember that proactive measures and careful choices are essential to protect your oral health and well-being. By following the recommendations outlined in this guide, you can minimize the impact of a chemical burn and promote a smooth and successful recovery.
